The Silent Swallow
Clinical Vignette
A 78-year-old man with Parkinson's disease, hypertension, and gastroesophageal reflux disease, residing in a skilled nursing facility, is brought in by nursing staff for 10 days of progressive confusion and new left-sided weakness. He has baseline bradykinesia, rigidity, and postural instability, and was transitioned to pureed food with thickened liquids 8 months ago due to worsening oropharyngeal dysphagia. Six weeks prior, he was briefly hospitalized and treated with amoxicillin-clavulanate for a right lower lobe infiltrate attributed to aspiration pneumonia. His current medications include levodopa-carbidopa and pantoprazole.
On examination, temperature is 38.6°C, heart rate 98/min, and blood pressure 142/88 mmHg. He is confused and disoriented to place and time, with a baseline MMSE of 26 now scoring 16 on reassessment. Neurologic examination reveals a new left facial droop, left arm pronator drift, and mild dysarthria superimposed on his Parkinsonian hypophonia. Neck is supple. Funduscopic examination shows no papilledema.
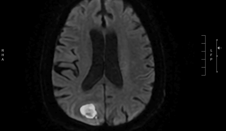
Laboratory studies show WBC 14,200 cells/mcL with 82% neutrophils, CRP 68 mg/L, and ESR 72 mm/hr. Blood cultures are drawn. CT brain with contrast reveals a 3.2-cm ring-enhancing lesion in the right parietal lobe with surrounding vasogenic edema and 4 mm of midline shift. MRI with diffusion-weighted imaging confirms marked restricted diffusion within the lesion, as shown below. Chest CT obtained to evaluate the prior lung process reveals a 3.5-cm cavitary lesion in the posterior right lower lobe with an air-fluid level consistent with lung abscess. HIV antigen-antibody test is negative. Serum Cryptococcal antigen and Toxoplasma IgG are negative.

Diffusion-weighted MRI (DWI): restricted diffusion within a right parietal ring-enhancing lesion.
Question 1
Which infectious etiology best explains this ring-enhancing lesion?
Select one option to submit your answer and view live poll results.
Question 2
Which empiric antibiotic regimen is most appropriate while awaiting culture results from surgical aspiration?
Select one option to submit your answer and view live poll results.
Question 3
Neurosurgery is consulted. Which management approach is most appropriate for this abscess?
Select one option to submit your answer and view live poll results.
References
Brouwer MC, Tunkel AR, McKhann GM 2nd, van de Beek D. Brain abscess. N Engl J Med. 2014;371(5):447-456.
Sonneville R, Ruimy R, Benzonana N, et al. An update on bacterial brain abscess in immunocompetent patients. Clin Microbiol Infect. 2017;23(9):614-620.