After the Headaches Faded
Clinical Vignette
A 39-year-old man with history of HIV presents with 3 weeks of progressive right arm weakness, word-finding difficulty, and new focal seizures. Ten months earlier he was hospitalized with cryptococcal meningitis, treated with liposomal amphotericin B plus flucytosine followed by high-dose fluconazole, and subsequently started antiretroviral therapy 5 weeks after antifungal induction. His headaches from cryptococcosis had improved, but over the past month his family noticed increasing apathy, slowed speech, and clumsiness of the right hand. On the day of admission he developed a generalized tonic-clonic seizure preceded by right facial twitching.
He reports excellent adherence to bictegravir, emtricitabine, and tenofovir alafenamide as well as fluconazole consolidation therapy and trimethoprim-sulfamethoxazole prophylaxis. His HIV RNA has fallen from 640,000 copies/mL at diagnosis to 84 copies/mL, but his CD4 count has risen only from 24 cells/mm3 to 186 cells/mm3. He has had no recent travel, no tuberculosis exposure, and no known malignancy. He denies fever, photophobia, or recurrent severe headache. There has been no interruption in ART, and he has not received systemic corticosteroids. Because of the prior cryptococcal meningitis, the emergency team is initially concerned about relapse or another opportunistic CNS process.
On examination, temperature is 37.1 C, heart rate 96/min, blood pressure 132/78 mmHg, respiratory rate 18/min, and oxygen saturation 99% on room air. He is awake but slowed, with nonfluent speech and mild expressive aphasia. Cranial nerves are intact. Strength is 4/5 in the right upper extremity and 4+/5 in the right leg with a pronator drift. Hyperreflexia is present on the right with an extensor plantar response. There is no meningismus, papilledema, or retinal lesion. The remainder of the examination is unremarkable.
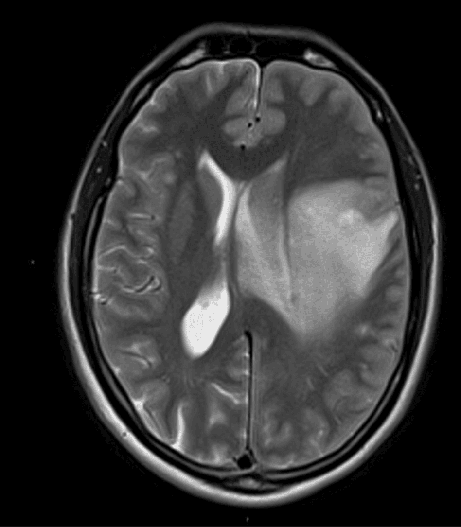
Laboratory studies show white blood cell count 4.8 x 10^3/uL, hemoglobin 11.2 g/dL, platelet count 211 x 10^3/uL, and creatinine 0.9 mg/dL. Serum cryptococcal antigen remains positive at a low unchanged titer. Lumbar puncture reveals opening pressure 18 cm H2O, 4 white blood cells/uL, protein 61 mg/dL, glucose 58 mg/dL, negative fungal culture, and negative CSF cryptococcal antigen by lateral flow assay. CSF toxoplasma PCR is negative, Epstein-Barr virus DNA is not detected, and JC virus PCR is positive at low level. Brain MRI demonstrates a large asymmetric left frontal subcortical T2 hyperintense lesion.

Axial T2-weighted brain MRI demonstrates an expansile left frontal white matter lesion with mass effect, leftward midline shift, and subfalcine herniation.
Question 1
What is the most likely explanation for this patient's worsening brain lesion?
Select one option to submit your answer and view live poll results.
Question 2
What is the most appropriate next management step?
Select one option to submit your answer and view live poll results.
Question 3
If CSF JC virus PCR were negative, which interpretation would be most accurate?
Select one option to submit your answer and view live poll results.
References
Fournier A, Martin-Blondel G, Lechapt-Zalcman E, et al. Immune Reconstitution Inflammatory Syndrome Unmasking or Worsening AIDS-Related Progressive Multifocal Leukoencephalopathy: A Literature Review. Front Immunol. 2017;8:577.
Moulignier A, Lecler A. Neurological complications of JC virus infection: A review. Rev Med Interne. 2021;42(3):177-185.
Mori K, Kurokawa M, Harada M, et al. Overview of MRI findings in progressive multifocal leukoencephalopathy. Jpn J Radiol. 2025;43(12):1908-1925.
Sainz-de-la-Maza S, Casado JL, Perez-Elias MJ, et al. Incidence and prognosis of immune reconstitution inflammatory syndrome in HIV-associated progressive multifocal leucoencephalopathy. Eur J Neurol. 2016;23(5):919-925.
Santana MN, Ferrari R, Macedo AC, et al. Acquired immunodeficiency syndrome-related progressive multifocal leukoencephalopathy-immune reconstitution inflammatory syndrome: prevalence, main characteristics, and outcomes in a Brazilian center. Arq Neuropsiquiatr. 2023;81(10):883-890.