The Ring in the Right Upper Lobe
Clinical Vignette
A 56-year-old man with poorly controlled type 2 diabetes mellitus presents to the emergency department with 6 days of fever, pleuritic right-sided chest pain, nonproductive cough, and progressive shortness of breath. Over the preceding 2 weeks he has also had marked fatigue, polyuria, polydipsia, nausea, and an unintentional 10-lb weight loss. He denies hemoptysis, recent travel, or known tuberculosis exposure. He was seen at an urgent care clinic 2 days earlier, where a chest radiograph was said to show a right upper lobe opacity, but he left before further evaluation. On the day of presentation, his family noticed increasing lethargy and rapid breathing.
He has been off insulin for several months because of cost and has not checked his glucose at home. His outpatient records show a hemoglobin A1c of 13.2% 5 months earlier, and he has missed several endocrinology visits. He reports no prior episodes of diabetic ketoacidosis or invasive fungal infection. He has hypertension and diabetic neuropathy but no history of hematologic malignancy, organ transplantation, neutropenia, chronic glucocorticoid use, or HIV infection. He works in warehouse maintenance and reports frequent exposure to dust while cleaning old storage areas. He does not smoke, drinks alcohol rarely, and has no known sick contacts. He has not recently received antibacterial or antifungal therapy.
On examination, he appears ill, dehydrated, and tachypneic. Temperature is 38.6 C, heart rate 124/min, blood pressure 96/58 mmHg, respiratory rate 30/min, and oxygen saturation 92% on room air. He is somnolent but arousable and answers questions appropriately. He has dry mucous membranes and deep respirations consistent with Kussmaul breathing. Lung examination reveals diminished breath sounds over the right upper lung field without wheezing. There are no sinus tenderness, facial eschars, focal neurologic deficits, or skin lesions. Cardiac examination shows tachycardia without murmur, and the abdomen is soft without focal tenderness.
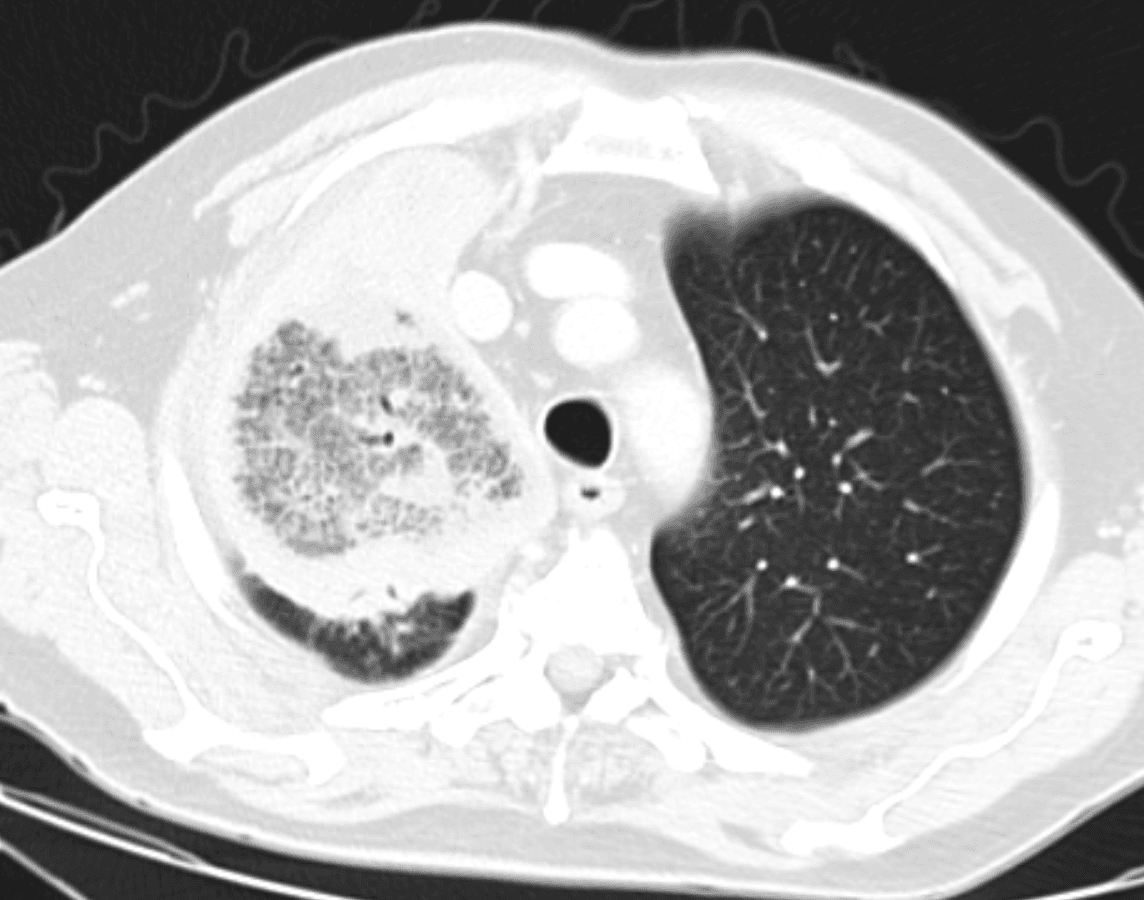
Laboratory studies show white blood cell count 17.4 x 10^3/uL, serum glucose 624 mg/dL, sodium 128 mmol/L, potassium 5.6 mmol/L, bicarbonate 9 mmol/L, anion gap 27, creatinine 1.8 mg/dL, lactate 2.4 mmol/L, beta-hydroxybutyrate 6.9 mmol/L, and venous pH 7.17, consistent with diabetic ketoacidosis. Hemoglobin A1c returns at 14.1%. Blood cultures remain negative, respiratory viral testing is negative, and serum galactomannan is not detected. Repeat chest radiography confirms a persistent right upper lobe opacity without pleural effusion. Chest CT demonstrates a focal right upper lobe consolidation with central ground-glass attenuation surrounded by a denser rim, creating a reverse halo sign.

Axial CT chest demonstrates a right upper lobe lesion with central ground-glass attenuation surrounded by denser peripheral consolidation, producing a reverse halo sign.
Question 1
What is the most likely diagnosis?
Select one option to submit your answer and view live poll results.
Question 2
What is the most appropriate next step in management?
Select one option to submit your answer and view live poll results.
Question 3
Which microbiologic description best fits this organism?
Select one option to submit your answer and view live poll results.
References
Cornely OA, Alastruey-Izquierdo A, Arenz D, et al. Global guideline for the diagnosis and management of mucormycosis: an initiative of the European Confederation of Medical Mycology in cooperation with the Mycoses Study Group Education and Research Consortium. Lancet Infect Dis. 2019;19(12):e405-e421.
Wahba H, Truong MT, Lei X, Kontoyiannis DP, Marom EM. Reversed Halo Sign in Invasive Pulmonary Fungal Infections. Clin Infect Dis. 2008;46(11):1733-1737.
Hammer MM, Madan R, Hatabu H. Pulmonary Mucormycosis: Radiologic Features at Presentation and Over Time. AJR Am J Roentgenol. 2018;210(4):742-747.
Agrawal R, Yeldandi A, Savas H, Parekh ND, Lombardi PJ, Hart EM. Pulmonary Mucormycosis: Risk Factors, Radiologic Findings, and Pathologic Correlation. RadioGraphics. 2020;40(3):656-666.
Guarner J, Brandt ME. Histopathologic Diagnosis of Fungal Infections in the 21st Century. Clin Microbiol Rev. 2011;24(2):247-280.