Chronic Hemoptysis in a Traveler from Colombia
Clinical Vignette
A 34-year-old man presents with 4 months of chronic cough, intermittent pleuritic chest pain, and recurrent hemoptysis. He reports progressive fatigue and 4 kg of weight loss, but remains functionally active.
Six months before symptom onset, he spent several weeks in a rural riverine area of Colombia where he frequently ate local marinated freshwater crabs. He reports household exposure to pulmonary tuberculosis during adolescence and a recent coworker treated for active TB. He has no prior chronic lung disease.
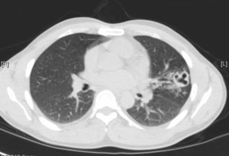
Examination shows mild tachycardia and scattered crackles. Chest imaging revealed a left patchy upper-lobe infiltrates with a small cavitary lesion. Labs show WBC 9,800 cells/uL with eosinophils 8% (absolute eosinophil count 780 cells/uL). Initial AFB sputum smear is negative, MTB PCR is negative, and routine bacterial sputum cultures are negative.

CT chest without contrast.
Question
What is the most likely diagnosis?
Select one option to submit your answer and view live poll results.
Question 2
Which treatment is most appropriate for uncomplicated pulmonary paragonimiasis?
Select one option to submit your answer and view live poll results.
References
Velez ID, Ortega JE, Velasquez LE. Paragonimiasis: a view from Colombia. Clinics in Chest Medicine.