Slowly Progressive Lumbar Mass in a 71-Year-Old Woman
Clinical Vignette
A 71-year-old woman with hypertension, hyperlipidemia, and diabetes mellitus presents with a right lumbar mass that has enlarged over 1 month and is increasingly tender to palpation. She denies fever, chills, night sweats, and weight loss.
On arrival she appears in good general condition. Vital signs are: blood pressure 130/90 mmHg, heart rate 100/min, respiratory rate 18/min, temperature 36.5°C, and weight 123 lb. Examination shows a firm indurated mass over the right lower back without overlying skin discoloration, fluctuance, or drainage.
Social history is non-contributory: she lives independently, has no recent travel, no alcohol or tobacco use, and no known animal, freshwater, or soil exposures.
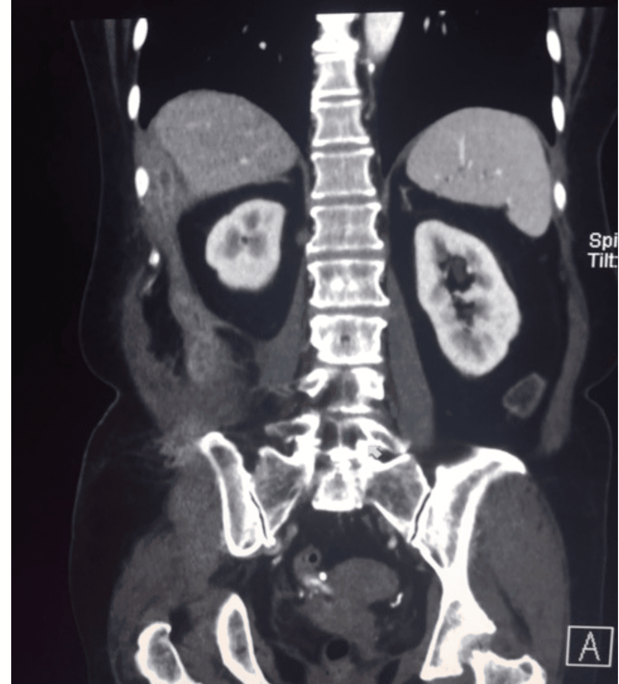
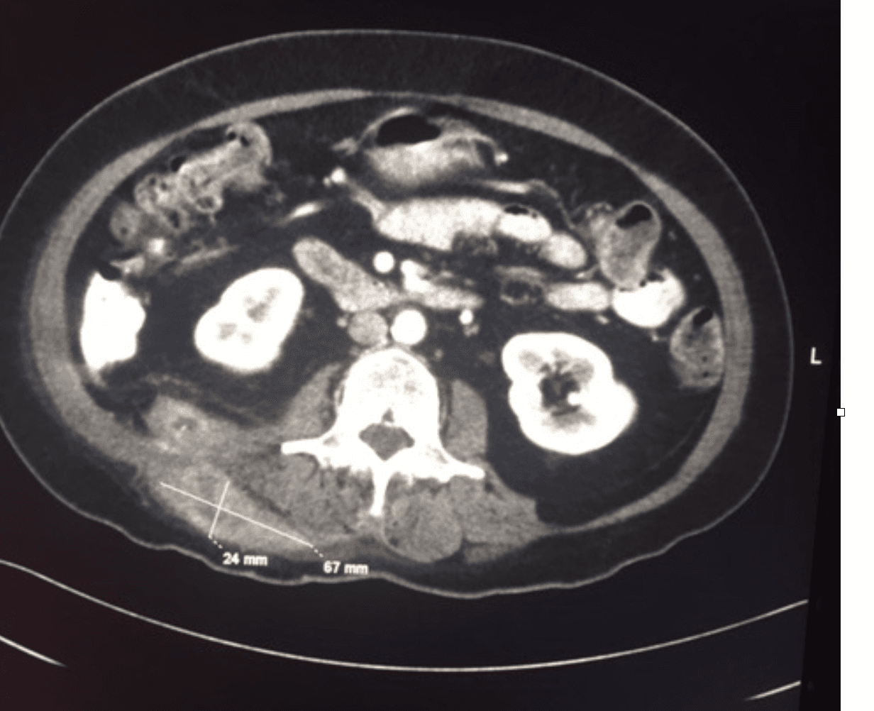
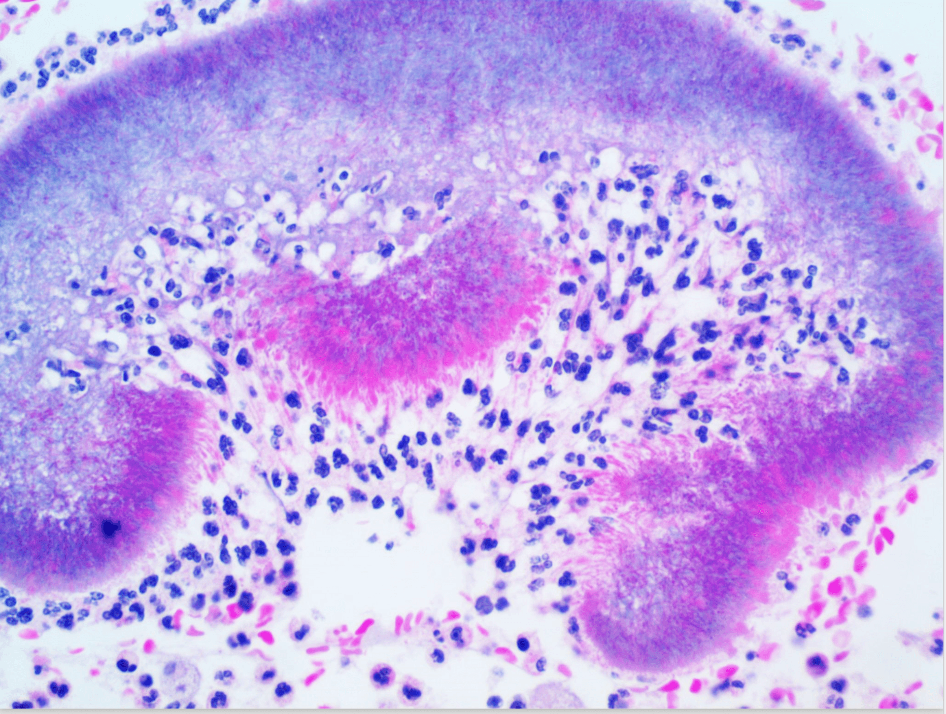
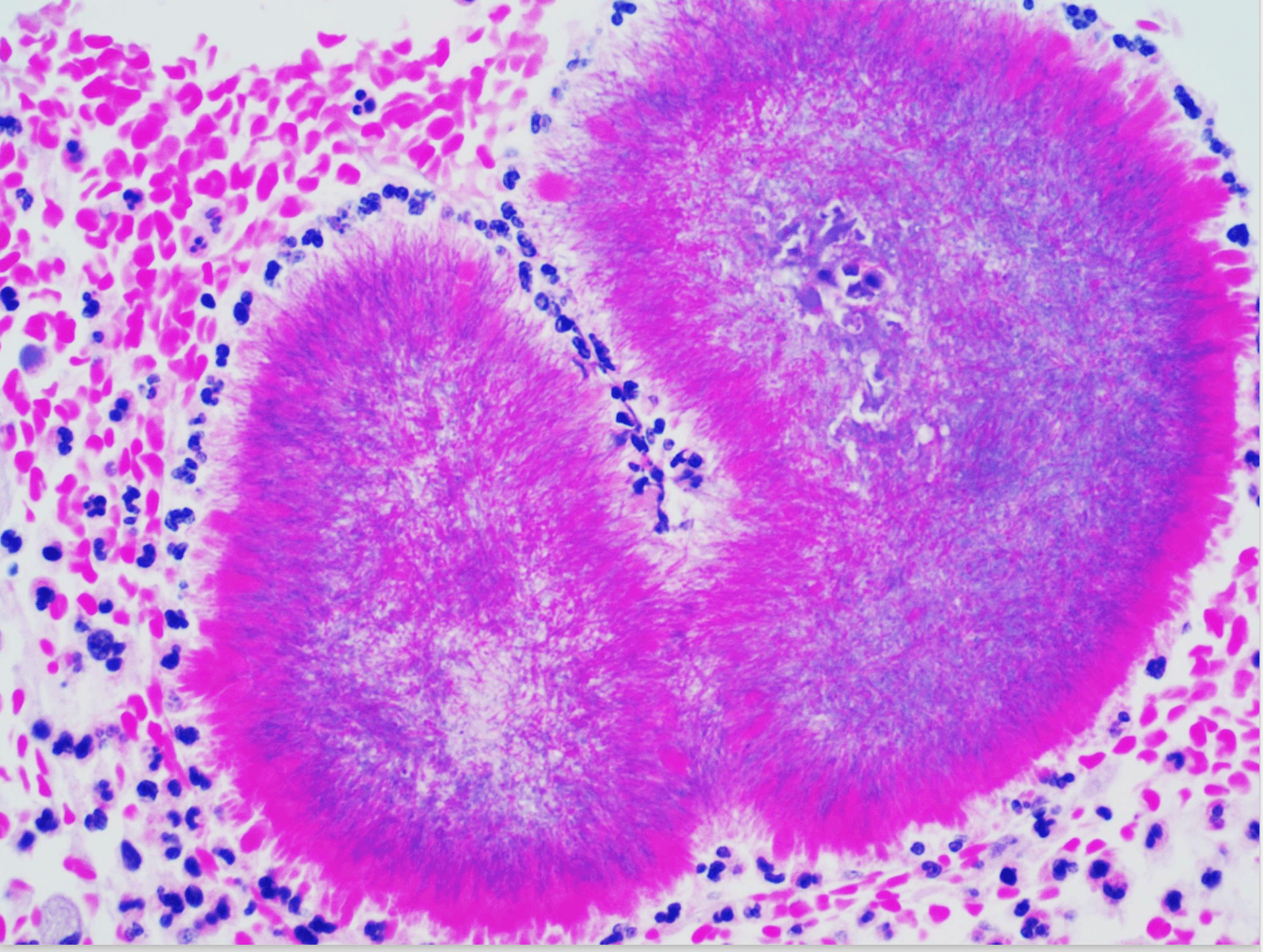
CT and tissue pathology were obtained because malignancy was initially suspected. Imaging showed an infiltrative soft-tissue process with mass-like appearance. Histopathology demonstrated sulfur granules with branching filamentous gram-positive organisms, consistent with actinomycotic infection.




Images provided by Dr. Hector Bonilla, MD, Stanford University.
Question
What is the most likely diagnosis?
Select one option to submit your answer and view live poll results.
Question 2
Which management strategy is most appropriate for this presentation?
Select one option to submit your answer and view live poll results.
References
Russo TA, Hu JC. Agents of Actinomycosis. In: Bennett JE, Dolin R, Blaser MJ, eds. Mandell, Douglas, and Bennett's Principles and Practice of Infectious Diseases. 10th ed. Elsevier; 2026:3073-3083.e4.
Wong VK, Turmezei TD, Weston VC. Actinomycosis. BMJ. 2011;343:d6099.
Bonnefond S, Catroux M, Melenotte C, et al. Clinical features of actinomycosis: a retrospective multicenter study of miscellaneous presentations. Medicine (Baltimore). 2016;95(24):e3923.