Paresthesias in Paradise
Clinical Vignette
A 26-year-old previously healthy woman presents to the emergency department with 10 days of progressive, severe bifrontal headache and neck stiffness. She describes the headache as the worst of her life, constant, and minimally responsive to ibuprofen. Over the past 4 days she has developed intermittent painful tingling and crawling sensations that migrate across her trunk, arms, and thighs, lasting minutes to hours before shifting location. She has had no fever at home, no photophobia, no rash, and no weakness.
She returned 12 days ago from a 10-day trip to Oahu, Hawaii, where she participated in hiking tours and attended a farm-to-table dinner at an organic farm. She recalls eating a large fresh salad with garden herbs, locally grown leafy vegetables, and a homemade dressing. She did not eat any raw seafood or snails that she is aware of. She takes oral contraceptives and has no allergies. She works as a graphic designer and has no animal exposures.
On examination she is afebrile at 37.2°C, blood pressure 118/72 mmHg, heart rate 88 bpm, and oxygen saturation 99% on room air. She is uncomfortable and appears distressed by the headache. There is moderate nuchal rigidity. Kernig and Brudzinski signs are present. Cranial nerve examination is intact. There is no papilledema on fundoscopy. Sensation is intact to all modalities at the time of examination though she reports migratory paresthesias throughout the encounter. No skin rash or lymphadenopathy is present.
Complete blood count shows white blood cell count 10,800/μL with absolute eosinophil count 980/μL (9% of differential). Hemoglobin and platelets are normal. Comprehensive metabolic panel is unremarkable. MRI of the brain with and without gadolinium shows mild leptomeningeal enhancement without mass lesions, cerebral edema, or hydrocephalus. Lumbar puncture reveals an opening pressure of 31 cm H₂O. CSF analysis: WBC 310 cells/μL (42% eosinophils, 38% lymphocytes, 20% monocytes), protein 92 mg/dL, glucose 44 mg/dL with a serum glucose of 96 mg/dL. No organisms are seen on Gram stain. CSF bacterial cultures are pending. CSF cryptococcal antigen is negative.

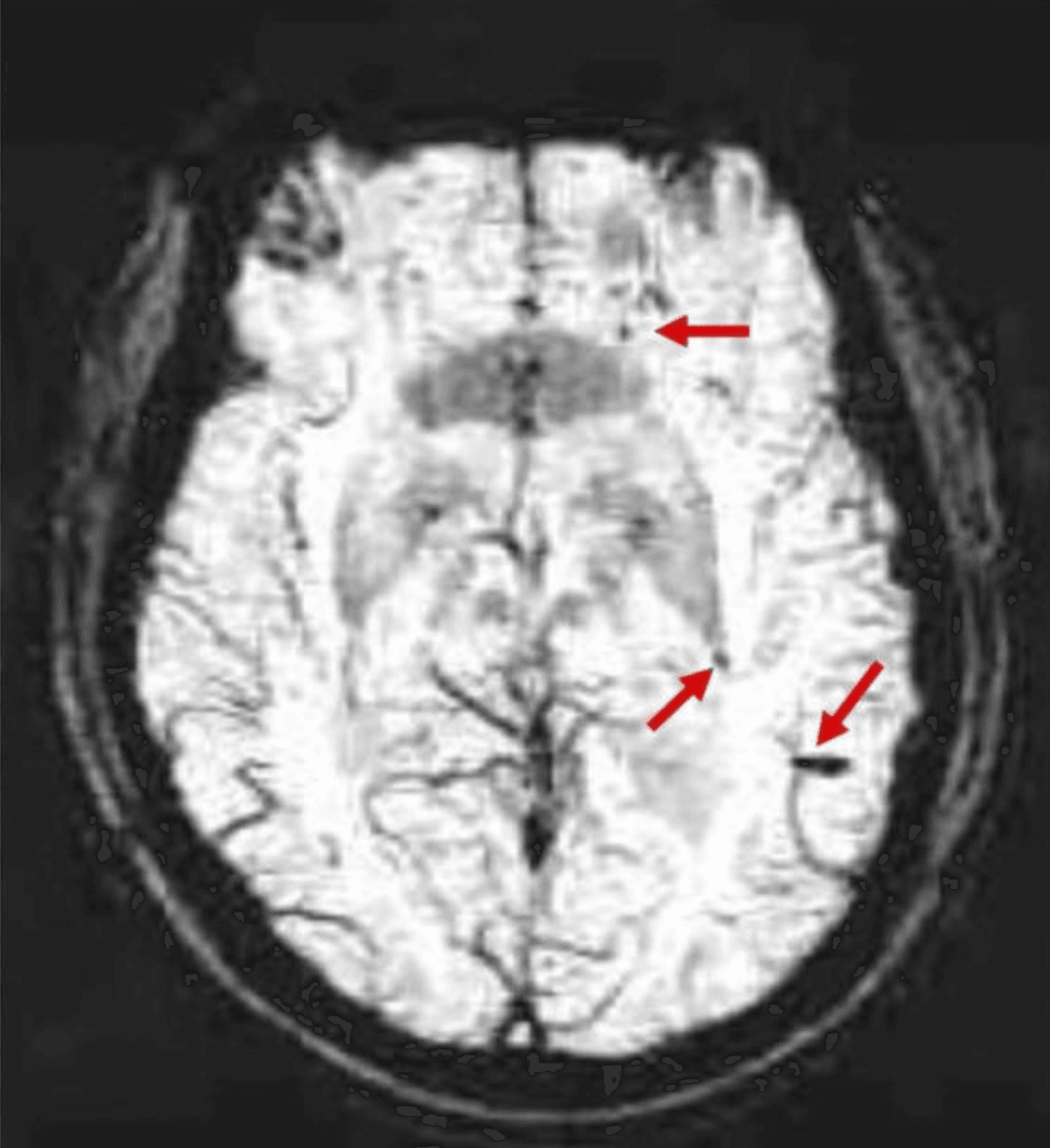
Susceptibility-weighted MRI: multiple microbleeds (arrows) over bilateral cerebral and cerebellar hemispheres. Adapted from Graeff-Teixeira et al. PLOS Neglected Tropical Diseases, 2009 (PMID: 29187276).
Question 1
Which of the following is the most likely diagnosis?
Select one option to submit your answer and view live poll results.
Question 2
The workup confirms eosinophilic meningitis in the context of a compatible exposure history. Which of the following is the most appropriate treatment?
Select one option to submit your answer and view live poll results.
References
Chotmongkol V, Sawanyawisuth K, Thavornpitak Y. Corticosteroid treatment of eosinophilic meningitis. Clinical Infectious Diseases. 2000;31(3):660-662.
Chotmongkol V, Kittimongkolma S, Niwattayakul K, Intapan PM, Thavornpitak Y. Comparison of prednisolone plus albendazole with prednisolone alone for treatment of patients with eosinophilic meningitis. American Journal of Tropical Medicine and Hygiene. 2009;81(3):443-445.
Wang QP, Lai DH, Zhu XQ, Chen XG, Lun ZR. Human angiostrongyliasis. Lancet Infectious Diseases. 2008;8(10):621-630.
Hochberg NS, Blackburn BG, Park SY, et al. Eosinophilic meningitis attributable to Angiostrongylus cantonensis infection in Hawaii: clinical characteristics and potential exposures. American Journal of Tropical Medicine and Hygiene. 2011;85(4):685-690.