Persistent Fever, Splinter Hemorrhages, and an Aortic Valve Abscess
Clinical Vignette
A 29-year-old man presents with 1 month of fever, drenching sweats, malaise, and reduced appetite. He reports daily temperatures at home, progressive fatigue, and an unintentional 4-kg weight loss. He has no known valvular disease and takes no chronic medications.
He recently returned from visiting family in a rural area where he consumed unpasteurized goat cheese and helped care for sheep and goats. He denies injection drug use. On examination, he is febrile to 39.3 degrees C, tachycardic, and has splinter hemorrhages under several fingernails. Cardiac auscultation reveals a new diastolic murmur.
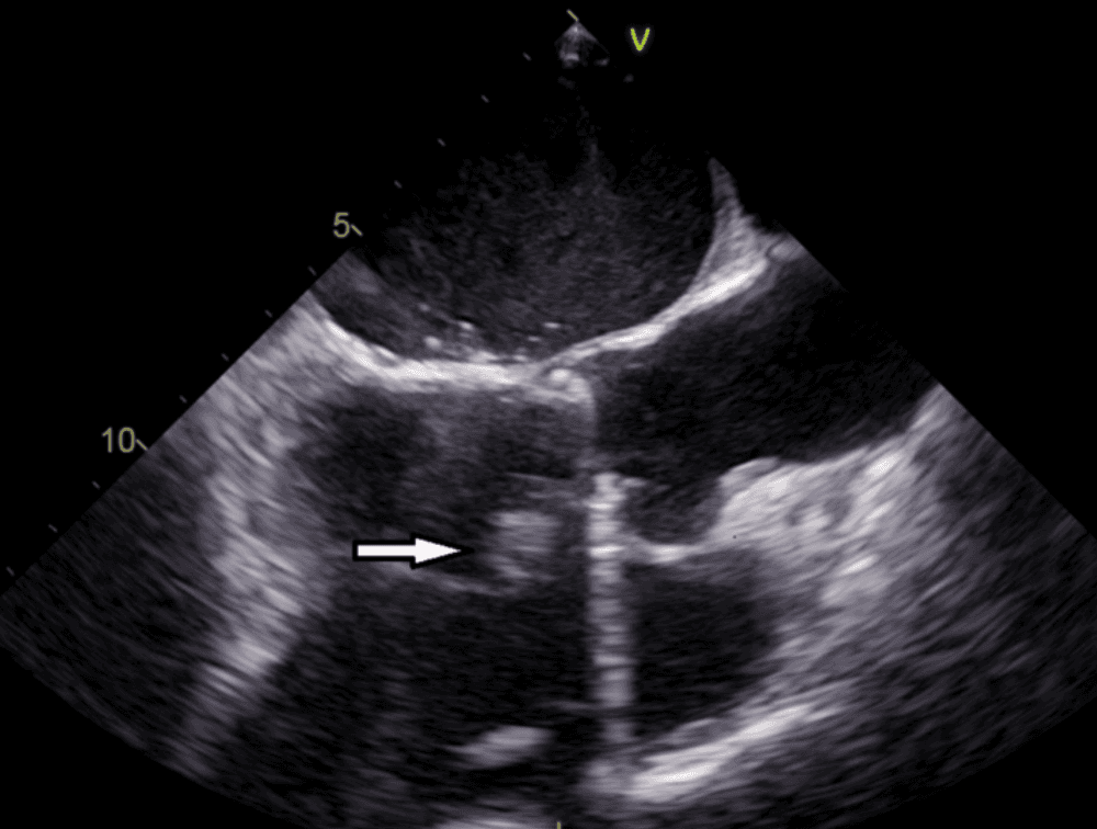
Laboratory studies show a white blood cell count of 8.9 x 10^9/L, hemoglobin 12.6 g/dL, platelets 214 x 10^9/L, C-reactive protein 29 mg/dL, and erythrocyte sedimentation rate 58 mm/hour. Aspartate aminotransferase is 42 U/L and alanine aminotransferase is 39 U/L. Transthoracic echocardiography demonstrates a friable vegetation on the aortic valve with an aortic root abscess. Four blood culture sets remain negative at 48 hours, but one bottle later grows a small gram-negative coccobacillus after prolonged incubation. A standard tube agglutination test returns positive at a titer of 1:640.

Echocardiogram demonstrating an aortic valve vegetation.
Question
What is the most likely diagnosis?
Select one option to submit your answer and view live poll results.
Question 2
Which management strategy is most appropriate?
Select one option to submit your answer and view live poll results.
References
Gul HC, Erdem H. Brucellosis (Brucella Species). In: Bennett JE, Dolin R, Blaser MJ, eds. Mandell, Douglas, and Bennett's Principles and Practice of Infectious Diseases. 10th ed. Elsevier; 2026:2744-2749.e3.
Bhat SA, Guroo FA, Koul AN, et al. Brucella Endocarditis: A Case Series. Cureus. 2024;16(12):e74969.
Koruk ST, Erdem H, Koruk I, et al. Management of Brucella endocarditis: results of the Gulhane study. International Journal of Antimicrobial Agents. 2012;40(2).