Verrucous Skin Lesions and a Right Upper Lobe Cavitary Opacity
Clinical Vignette
A 48-year-old previously healthy woman presents with fatigue, dizziness, dyspnea on exertion, and progressive verrucous skin lesions over her left arm and back. She first noticed the skin lesions 2 months ago but did not seek medical attention. During the week before admission, her fatigue and dyspnea became more prominent and began to limit her daily activities.
She denies cough, fever, and other systemic symptoms. She works as a technician in a nursing home, has had no recent travel, and has been a lifelong resident of Missouri. She has no pets and is unsure about sick contacts given the nature of her job.
Examination reveals a large painless verrucous plaque over the left arm and a second smaller verrucous lesion over the back. Respiratory examination shows decreased air entry over the right upper lung field.
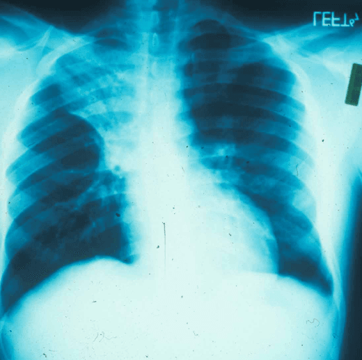
Chest radiography demonstrates a right upper lobe cavitary opacity with surrounding consolidation. Routine laboratory studies are largely unremarkable, and sputum cultures are unrevealing. Skin biopsy demonstrates broad-based budding yeast on Grocott methenamine silver staining, shown below. HIV fourth-generation testing is pending. Lumbar puncture is performed to assess for CNS involvement and is unremarkable.

Left arm lesion

Skin biopsy (GMS stain)

Chest X-ray
Images provided by Dr. Hector Bonilla, MD, Stanford University.
Question
What is the most likely diagnosis?
Select one option to submit your answer and view live poll results.
Question 2
CSF evaluation is normal and she is clinically stable. What is the best treatment?
Select one option to submit your answer and view live poll results.
References
Chapman SW, Dismukes WE, Proia LA, et al. Clinical practice guidelines for the management of blastomycosis: 2008 update by the Infectious Diseases Society of America. Clinical Infectious Diseases. 2008;46(12):1801-1812.
Hashim S, Barrios C. Disseminated blastomycosis. IDCases. 2020;21:e00786.
Bradsher RW Jr. Blastomyces dermatitidis (Blastomycosis). In: Bennett JE, Dolin R, Blaser MJ, eds. Mandell, Douglas, and Bennett's Principles and Practice of Infectious Diseases. 10th ed. Elsevier; 2026.