After the Steroid Burst
Clinical Vignette
A 69-year-old man is admitted to the ICU with progressive dyspnea, diarrhea, abdominal pain, and fever. He was born in rural Ecuador and has lived in the United States for many years. He has been on prednisone 20 mg daily for the last 2 months for concerns for polymialgia rheumatica. He has not been on TMP/SMX for PJP prophylaxis.
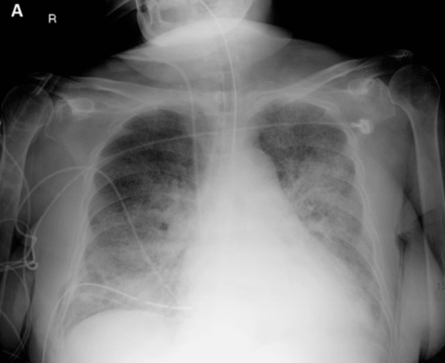
Two days before admsiion, he developed worsening cough, wheezing, and diffuse weakness. In the emergency department he became hypotensive and hypoxemic, requiring vasopressors and ICU transfer. Chest imaging shows bilateral patchy interstitial and alveolar infiltrates. Blood cultures later grow a gram-negative enteric organism.
On examination he is ill-appearing, tachypneic, and confused. Temperature is 38.8 °C, heart rate 118/min, blood pressure 86/52 mmHg on norepinephrine, and oxygen saturation 90% on high-flow oxygen. He has diffuse wheezing, abdominal distension with mild diffuse tenderness.
Laboratory tests show WBC 18.6 x10^9/L (88% neutrophils), hemoglobin 10.4 g/dL, platelets 142 x10^9/L, absolute eosinophil count 0.1 x10^9/L, creatinine 2.1 mg/dL (baseline 0.9), bicarbonate 17 mmol/L, and lactate 5.2 mmol/L.

Chest X-ray
Question
What is the most likely diagnosis?
Select one option to submit your answer and view live poll results.
Question 2
Which management approach is most appropriate now for the most likely etiologic diagnosis?
Select one option to submit your answer and view live poll results.
References
Luvira V, Siripoon T, Phiboonbanakit D, et al. Strongyloides stercoralis: A neglected but fatal parasite. Tropical Medicine and Infectious Disease. 2022;7(10):310.
Keiser PB, Nutman TB. Strongyloides stercoralis in the immunocompromised population. Clinical Microbiology Reviews. 2004;17(1):208-217.
Buonfrate D, Requena-Mendez A, Angheben A, et al. Severe strongyloidiasis: a systematic review of case reports. BMC Infectious Diseases. 2013;13:78.
Boggild AK, Libman M, Greenaway C, McCarthy AE. CATMAT statement on disseminated strongyloidiasis: prevention, assessment and management guidelines. Canada Communicable Disease Report. 2016;42(1):12-19.