A Cheesy Clue
Clinical Vignette
A 30-year-old man with no known past medical history presents with months of worsening abdominal pain, chronic diarrhea, progressive fatigue, lower-extremity edema, and approximately 25 kg of unintentional weight loss over 6 months. He reports that his diarrhea began earlier in the year and persisted despite prior antibiotic empiric treatment.
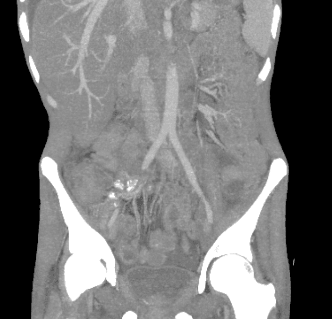
Prior abdominal imaging at an outside hospital reportedly showed extensive abdominal and pelvic lymphadenopathy with mass-like thickening of the terminal ileum and cecum, raising concern for malignancy. He declined admission at that time. Symptoms progressed as he developed worsening abdominal pain, fatigue, and ongoing diarrhea, prompting emergency evaluation.
He was born and raised in Guatemala, but lived in Mexico most of his live, and has traveled between Mexico and the United States mukltiple times. He denies smoking, alcohol, substance use, incarceration, and known tuberculosis contacts. He reports frequently eating traditional foods, including unpasteurized “queso fresco.” has two dogs.
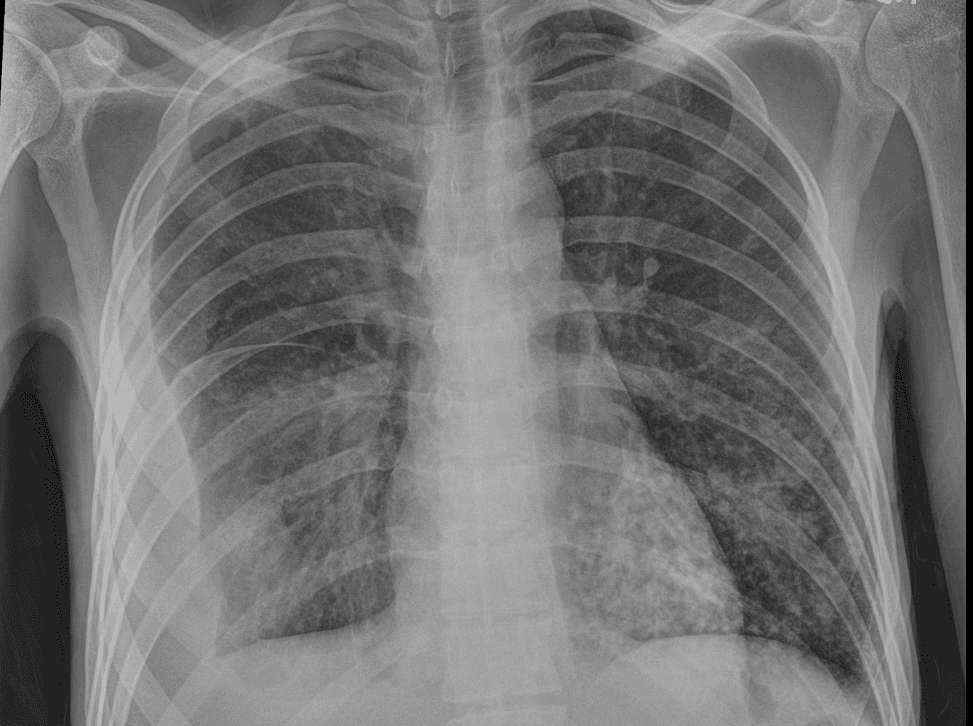
On examination, he is cachectic but not in acute distress. Temperature is 36.7 C, heart rate 103/min, blood pressure 91/63 mmHg, and respiratory rate 18/min. He has pale conjunctivae, decreased air entry on the right hemithorax, right lower-quadrant abdominal tenderness, and 2+ bilateral lower-extremity edema. A chest radiograph is obtained as part of the inpatient workup.

Abdominal CT

Chest X-ray
Question
What is the most likely diagnosis?
Select one option to submit your answer and view live poll results.
Question 2
Sputum AFB testing and mycobacterial workup identify Mycobacterium bovis. Which is the best treatment regimen?
Select one option to submit your answer and view live poll results.
References
Nahid P, Dorman SE, Alipanah N, et al. Official American Thoracic Society/Centers for Disease Control and Prevention/Infectious Diseases Society of America Clinical Practice Guidelines: Treatment of Drug-Susceptible Tuberculosis. Clinical Infectious Diseases. 2016;63(7):e147-e195.
Hlavsa MC, Moonan PK, Cowan LS, et al. Human tuberculosis due to Mycobacterium bovis in the United States, 1995-2005. Clinical Infectious Diseases. 2008;47(2):168-175.
Pinsky BA, Banaei N. Multiplex real-time PCR assay for rapid identification of Mycobacterium tuberculosis complex members to the species level. Journal of Clinical Microbiology. 2008;46(7):2241-2246.
Malone KM, Gordon SV. Mycobacterium tuberculosis complex members adapted to wild and domestic animals. In: Advances in Experimental Medicine and Biology. 2017;1019:135-154.