Hidden in Plain Sight
Clinical Vignette
A 34-year-old man from Honduras, living in the United States for the past five years, presents to the emergency department with a six-week history of daily fevers, drenching night sweats, and a 9-pound weight loss. He was seen at an urgent care clinic two weeks ago where HIV testing was performed and returned positive. He has not yet been linked to HIV care and has not started antiretroviral therapy.
On examination, temperature is 38.8°C, heart rate 108, blood pressure 94/62 mmHg. He appears cachectic and fatigued. There is diffuse lymphadenopathy involving the cervical, axillary, and inguinal chains. The liver edge is palpable 4 cm below the costal margin and the spleen tip is palpable 6 cm below the left costal margin. No focal skin lesions are noted. Lung examination is unremarkable.
Laboratory studies: WBC 1.9 k/mcL (ANC 760), hemoglobin 6.8 g/dL, platelets 48 k/mcL. LDH 1,240 U/L. Ferritin 18,600 ng/mL. ALT 88, AST 104, alkaline phosphatase 340 U/L. Creatinine 1.2 mg/dL. CD4 count is 18 cells/mcL and HIV viral load is 1.2 million copies/mL. Chest radiograph shows no focal consolidation or effusion.
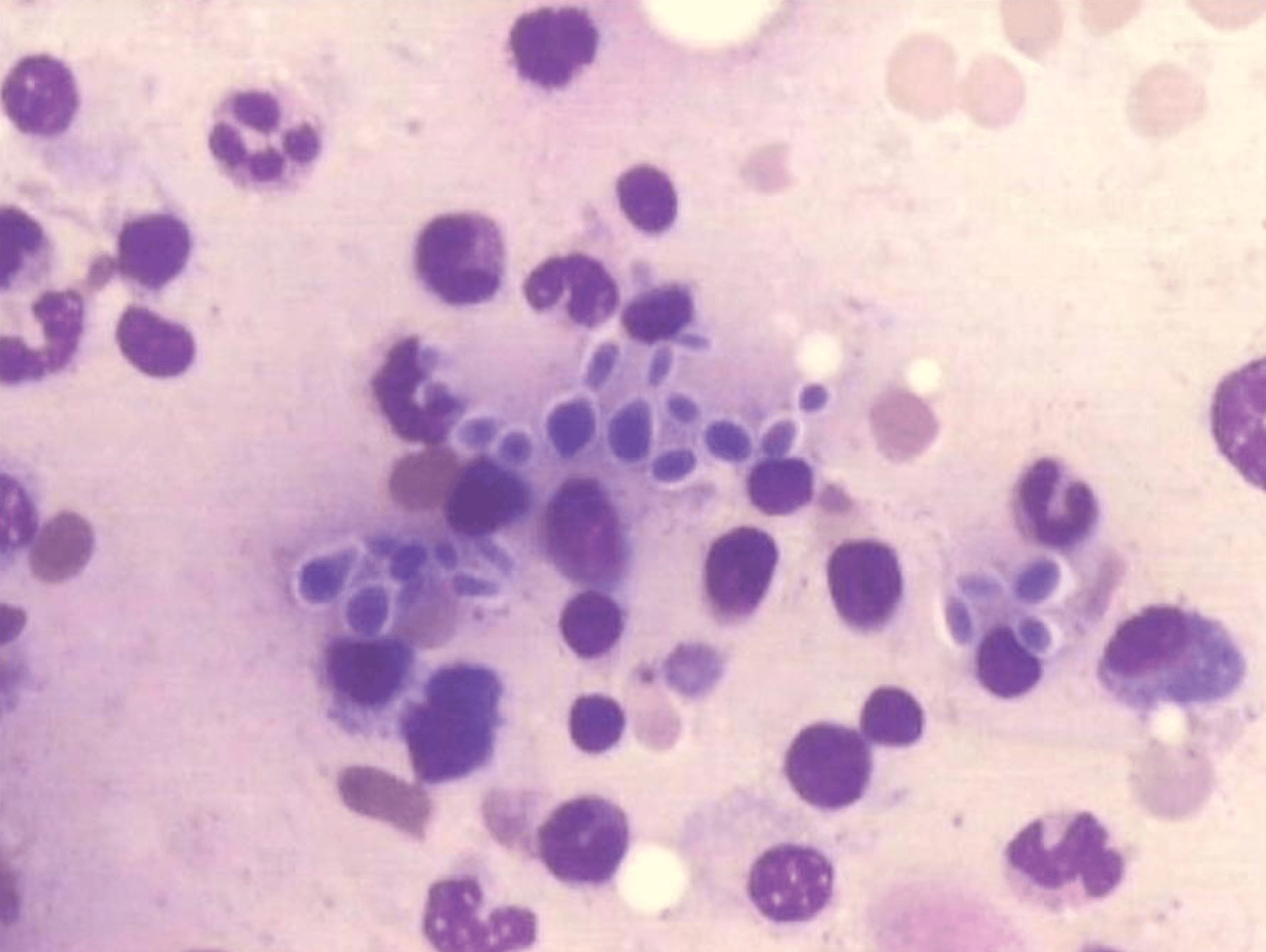
Given the severe pancytopenia and hepatosplenomegaly, a bone marrow aspirate is performed. The Wright-Giemsa stained smear is shown below.

Bone marrow aspirate, Wright-Giemsa stain: macrophages laden with small intracellular organisms measuring 2 to 4 micrometers, each surrounded by a clear halo within the host cell cytoplasm.
Question 1
The bone marrow aspirate shows macrophages packed with small intracellular organisms surrounded by a clear halo. What is the most likely organism?
Select one option to submit your answer and view live poll results.
Question 2
Before the bone marrow was performed, which single test would have been most likely to provide a rapid diagnosis in this patient?
Select one option to submit your answer and view live poll results.
Question 3
The patient has moderate-to-severe disease with pancytopenia, and a CD4 of 18 cells/mcL. What is the treatment of choice?
Select one option to submit your answer and view live poll results.
References
Wheat LJ, Freifeld AG, Kleiman MB, et al. Clinical practice guidelines for the management of patients with histoplasmosis: 2007 update by the Infectious Diseases Society of America. Clinical Infectious Diseases. 2007;45(7):807-825.
Wheat LJ, Connolly P, Haddad N, et al. Antigen clearance during treatment of disseminated histoplasmosis with itraconazole versus fluconazole in patients with AIDS. Antimicrobial Agents and Chemotherapy. 2002;46(1):248-250.
Johnson PC, Wheat LJ, Cloud GA, et al. Safety and efficacy of liposomal amphotericin B compared with conventional amphotericin B for induction therapy of histoplasmosis in patients with AIDS. Annals of Internal Medicine. 2002;137(2):105-109.