When the Back Pain Came Late
Clinical Vignette
A 74-year-old man presents with 6 weeks of worsening low back pain, night sweats, fatigue, and 8 pounds of unintentional weight loss. The pain is deep, constant, worse at night, and now limits walking.
Eighteen months earlier he underwent transurethral resection of high-grade non-muscle-invasive urothelial carcinoma followed by induction and maintenance intravesical Bacillus Calmette-Guerin therapy. Several instillations were traumatic and associated with transient gross hematuria. He has diabetes and hypertension, but no HIV, transplant, biologic therapy, or known tuberculosis exposure.
He is afebrile and hemodynamically stable. Examination shows focal tenderness over the upper lumbar spine and pain with extension, but no weakness, sensory loss, saddle anesthesia, or bowel or bladder dysfunction.
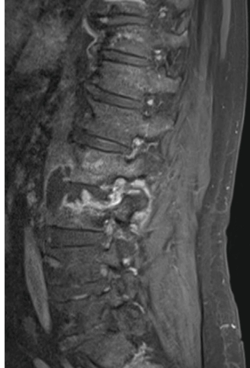
Hemoglobin is 10.8 g/dL, erythrocyte sedimentation rate 86 mm/hour, and C-reactive protein 11.4 mg/dL. MRI shows L2-L3 discitis and osteomyelitis with an adjacent paravertebral abscess. CT-guided biopsy shows necrotizing granulomatous inflammation. Routine cultures remain sterile, and mycobacterial studies are sent from the biopsy specimen.

Lumbar spine MRI showing destructive changes centered at L2-L3 with an adjacent paravertebral fluid collection.
Question 1
What is the most likely diagnosis?
Select one option to submit your answer and view live poll results.
Question 2
Which additional result best supports the species identification?
Select one option to submit your answer and view live poll results.
Question 3
Which regimen is most appropriate?
Select one option to submit your answer and view live poll results.
References
Cadiou S, Al Tabaa O, Nguyen CD, et al. Back pain following instillations of BCG for superficial bladder cancer is not a reactive complication: review of 30 Mycobacterium bovis BCG vertebral osteomyelitis cases. Clin Rheumatol. 2019;38(6):1773-1783.
Broekx S, Buelens E. Tuberculous spondylitis following intravesical bcg-instillation in the treatment of transitional cell carcinoma: Case report and systematic review. Clin Neurol Neurosurg. 2020;194:105944.
Carrega G, Riccio G, Vallerga D, et al. A severe Bacillus Calmette-Guerin vertebral osteomyelitis requiring spinal stabilization: a clinical and microbiological investigation. J Microbiol Immunol Infect. 2023;56(3):641-643.
Leon P, Levi LI, Depaquit TL, et al. Guidelines from the cancer (CCAFU) and infection disease (CI-AFU) committees of the French association of Urology for the management of adverse events and complications of BCG. Fr J Urol. 2026:103105.