The Mass at Twelve Months
Clinical Vignette
A 52-year-old man underwent orthotopic heart transplant 12 months ago for end-stage ischemic cardiomyopathy. His donor was EBV IgG-seropositive; he was EBV IgG-seronegative at the time of transplant. His immunosuppressive regimen consists of tacrolimus, mycophenolate mofetil, and prednisone. His post-transplant course has been unremarkable, with stable allograft function and no prior episodes of rejection.
He now presents with a 6-week history of progressive fatigue, intermittent fevers, drenching night sweats, and an unintentional 9-pound weight loss. He reports mild exertional dyspnea but denies cough, hemoptysis, or pleuritic chest pain. There is no recent travel, no known tuberculosis contacts, no construction or excavation exposure, and no sick contacts.
On examination, temperature is 38.3 C, heart rate 94 bpm, blood pressure 128/76 mmHg, and oxygen saturation 95% on room air. Breath sounds are mildly diminished at the left apex. There is no palpable lymphadenopathy. Cardiac and abdominal examinations are unremarkable.
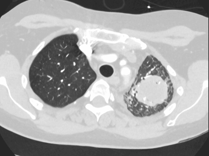
Laboratory data: hemoglobin 10.4 g/dL, WBC 7.6 x 10^9/L, platelets 138 x 10^9/L, LDH 418 U/L (elevated), uric acid 7.2 mg/dL. Serum creatinine and tacrolimus trough are within target range. CT of the chest with contrast reveals a 4.2 cm heterogeneous mass in the left upper lobe with associated mediastinal lymphadenopathy.

CT chest with contrast: 4.2 cm heterogeneous left upper lobe mass with associated mediastinal lymphadenopathy.
Question 1
Which of the following is the most likely diagnosis?
Select one option to submit your answer and view live poll results.
Question 2
What is the most appropriate next step?
Select one option to submit your answer and view live poll results.
Question 3
Biopsy returns: monomorphic PTLD, diffuse large B-cell lymphoma type, CD20+, EBER+. EBV PCR is 52,000 IU/mL. What is the most appropriate initial management?
Select one option to submit your answer and view live poll results.
References
Dierickx D, Habermann TM. Post-transplantation lymphoproliferative disorders in adults. New England Journal of Medicine. 2018;378(6):549-562.
Trappe RU, Dierickx D, Zimmermann H, et al. Response to rituximab induction is a predictive marker in B-cell post-transplant lymphoproliferative disorder and allows successful stratification into rituximab or R-CHOP consolidation in an international, prospective, multicenter Phase II trial. Journal of Clinical Oncology. 2017;35(5):536-543.
Allen UD, Preiksaitis JK; AST Infectious Diseases Community of Practice. Post-transplant lymphoproliferative disorders, Epstein-Barr virus infection, and disease in solid organ transplantation: Guidelines from the American Society of Transplantation Infectious Diseases Community of Practice. Clinical Transplantation. 2019;33(9):e13652.