A Stubborn Course
Clinical Vignette
A 52-year-old man with end-stage renal disease from diabetic nephropathy underwent deceased-donor kidney transplantation ten months ago. Pre-transplant CMV serology showed a seropositive donor and seronegative recipient (D+/R−). He received valganciclovir prophylaxis for six months post-transplant, which was discontinued two months ago. His current immunosuppressive regimen includes tacrolimus (trough 7.2 ng/mL), mycophenolate mofetil 1000 mg twice daily, and prednisone 5 mg daily. Three weeks ago, he developed watery diarrhea with mild periumbilical cramping after a course of amoxicillin for a dental abscess. Stool testing was positive for Clostridioides difficile by PCR, and he completed a 10-day course of oral vancomycin 125 mg four times daily.
He returns to the transplant clinic with two additional weeks of persistent diarrhea — now four to six bloody stools per day — and crampy left lower abdominal pain. He reports no fever. An unintentional weight loss of 5 kg has occurred over the past month. He has not started any new medications. A repeat stool C. difficile PCR and enzyme immunoassay are both negative. His tacrolimus trough is 7.5 ng/mL, within the target range. Serum CMV quantitative PCR is sent and returns at 800 IU/mL.
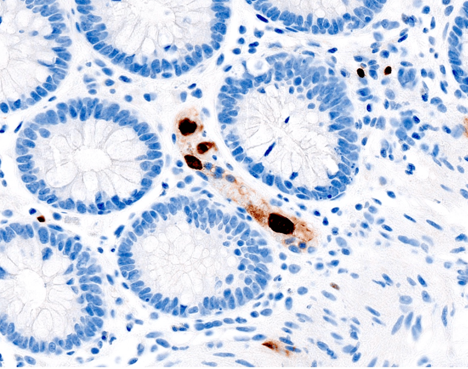
On examination, temperature is 37.3°C, heart rate 88, blood pressure 134/82 mmHg. The abdomen is soft with mild tenderness to deep palpation in the left lower quadrant and no peritoneal signs. Laboratory studies: WBC 6.1 k/mcL with lymphopenia (absolute lymphocyte count 0.4 k/mcL), hemoglobin 10.1 g/dL (microcytic), serum creatinine 2.0 mg/dL (baseline 1.5 mg/dL). He is admitted and undergoes colonoscopy, which reveals diffuse mucosal erythema, edema, and multiple linear ulcerations extending from the cecum to the sigmoid colon. Biopsies are sent for histopathology with immunohistochemistry. The result is shown below.

Colonic mucosal biopsy immunohistochemistry: an enlarged cell with a large intranuclear inclusion surrounded by a clear halo, staining positive on anti-viral immunoperoxidase.
Question 1
What is the diagnosis based on the biopsy findings?
Select one option to submit your answer and view live poll results.
Question 2
Which statement best describes the role of serum CMV PCR in diagnosing GI CMV disease?
Select one option to submit your answer and view live poll results.
Question 3
After three weeks of IV ganciclovir dosed by weight and adjusted for creatinine clearance, the patient continues to have bloody diarrhea. Serum CMV PCR has risen from 800 to 32,400 IU/mL. Repeat colonoscopy shows unchanged ulcerations. What is the most likely mechanism and next step?
Select one option to submit your answer and view live poll results.
References
Kotton CN, Kumar D, Caliendo AM, et al. The Third International Consensus Guidelines on the Management of Cytomegalovirus in Solid-organ Transplantation. Transplantation. 2018;102(6):900-931.
Avery RK, Alain S, Alexander BD, et al. Maribavir for Refractory Cytomegalovirus Infections with or without Resistance Post-Transplant: Results from the Phase 3 Randomized SOLSTICE Trial. Clinical Infectious Diseases. 2022;75(4):690-701.
Drew WL. Cytomegalovirus resistance testing: pitfalls and problems for the clinician. Clinical Infectious Diseases. 2010;50(5):733-736.
Ljungman P, Boeckh M, Hirsch HH, et al. Definitions of Cytomegalovirus Infection and Disease in Transplant Patients for Use in Clinical Trials. Clinical Infectious Diseases. 2017;64(1):87-91.