The Watercress Fever
Clinical Vignette
A 26-year-old woman from a rural community in the Bolivian altiplano near Oruro presents to the emergency department with a 3-week history of fever, right upper quadrant pain, malaise, and anorexia. She immigrated to the United States 6 weeks ago and has no prior medical history. She takes no medications and denies alcohol use.
She grew up in a farming community near irrigation channels used for agriculture. She reports that watercress (berros) gathered from these channels was a regular part of her diet throughout her life. She denies recent travel, sick contacts, or consumption of raw meat or freshwater fish or crustaceans in the United States.
On examination she is ill-appearing with a temperature of 38.9°C, heart rate of 102 beats per minute, blood pressure 114/72 mmHg, and oxygen saturation 98% on room air. There is right upper quadrant tenderness to palpation with hepatomegaly extending 4 cm below the right costal margin. There is no jaundice, no scleral icterus, no splenomegaly, and no ascites. The remainder of the examination is unremarkable.
Complete blood count shows white blood cell count 14,200/μL with 32% eosinophils (absolute eosinophil count 4,540/μL), hemoglobin 12.4 g/dL, and platelets 310,000/μL. Comprehensive metabolic panel shows ALT 178 U/L, AST 142 U/L, alkaline phosphatase 312 U/L, and total bilirubin 1.1 mg/dL. Three stool ova and parasite examinations performed on consecutive days return negative. Hepatitis A, B, and C serologies are negative. A contrast-enhanced CT of the abdomen is obtained.

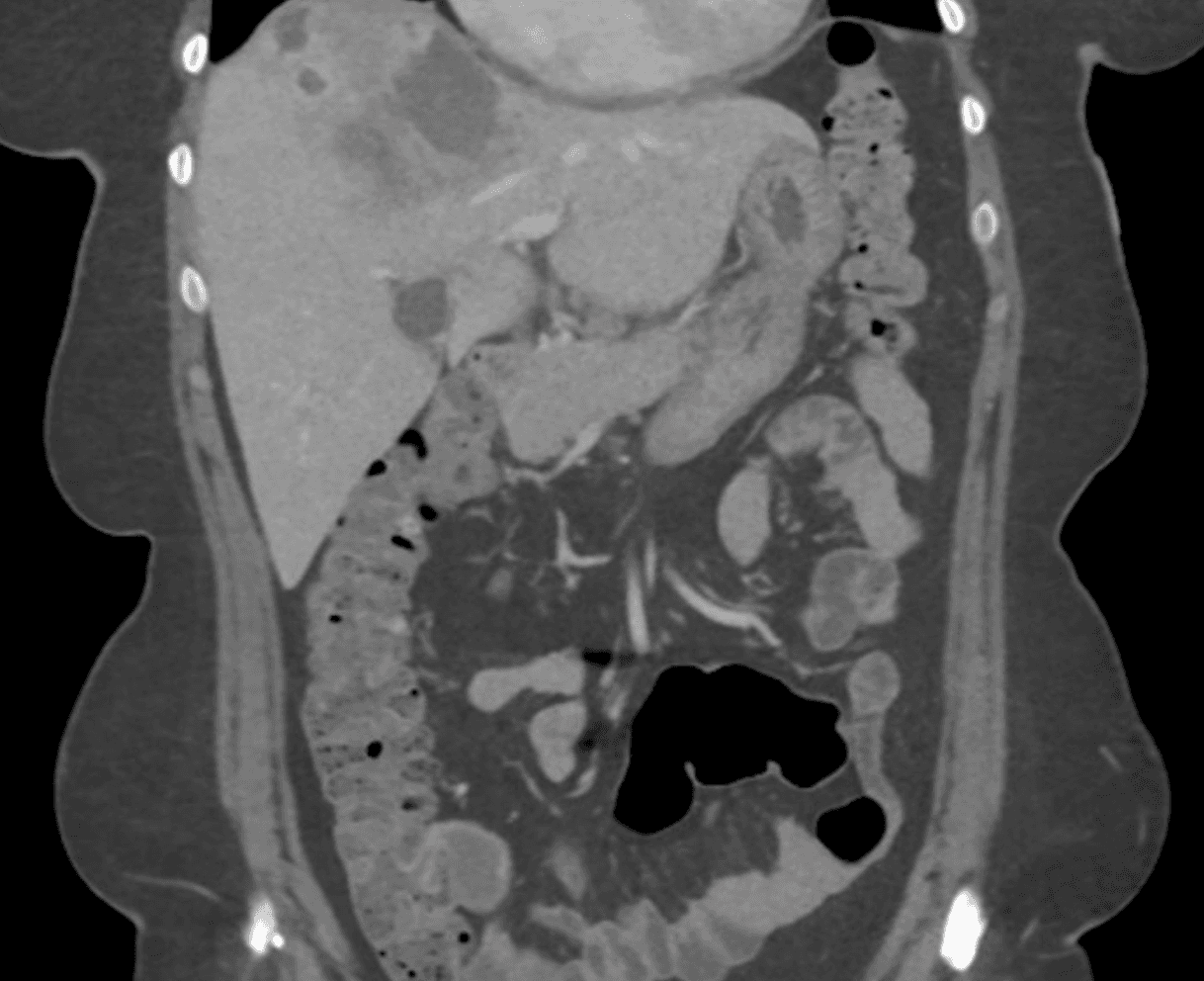
CT abdomen with contrast, coronal view. Hepatomegaly with multiple hypodense nodular lesions and linear migratory tracts in the right hepatic lobe.
Question 1
Which of the following organisms is most likely responsible for this presentation?
Select one option to submit your answer and view live poll results.
Question 2
Which of the following is the most appropriate confirmatory diagnostic test at this stage of her illness?
Select one option to submit your answer and view live poll results.
Question 3
Which of the following is the correct treatment for this patient?
Select one option to submit your answer and view live poll results.
References
Marcos LA, Terashima A, Gotuzzo E. Update on hepatobiliary flukes: fascioliasis, opisthorchiasis and clonorchiasis. Current Opinion in Infectious Diseases. 2008;21(5):523-530.
Mas-Coma S, Valero MA, Bargues MD. Fasciola, lymnaeids and human fascioliasis, with a global overview on disease transmission, epidemiology, evolutionary genetics, molecular epidemiology and control. Advances in Parasitology. 2009;69:41-146.
Keiser J, Utzinger J. Efficacy of current drugs against soil-transmitted helminth infections: systematic review and meta-analysis. JAMA. 2008;299(16):1937-1948.
World Health Organization. Triclabendazole for the treatment of fascioliasis and paragonimiasis. WHO Model Formulary. Geneva: WHO; 2019.