Severe Hypertension and Renal Failure in a Fisherman from Western Mozambique
Clinical Vignette
A 39-year-old man from western Mozambique presents with 5 days of progressive shortness of breath. He reports marked orthopnea and paroxysmal nocturnal dyspnea. Over the same interval, he has developed continuous bilateral flank pain and persistent nausea. He denies cough, fever, and chest pain.
He was told he had arterial hypertension 2 years earlier and was prescribed medication, but he never took it and had no further evaluation. His past medical and family history are otherwise unremarkable. A recent HIV test was negative. He works as a fisherman and has frequent freshwater exposure in endemic areas.
On examination, he is pale and in respiratory distress but does not appear chronically ill. His blood pressure is 200/130 mmHg, pulse 66/min, temperature 36.8 C, and respiratory rate 32/min. The apex beat is mildly displaced. Heart sounds are regular without an obvious murmur. Jugular venous pressure is not elevated. Fine bibasilar crackles are present. The abdomen is soft and non-tender, but there is bilateral renal angle tenderness, and both kidneys are ballotable. There is no peripheral edema.
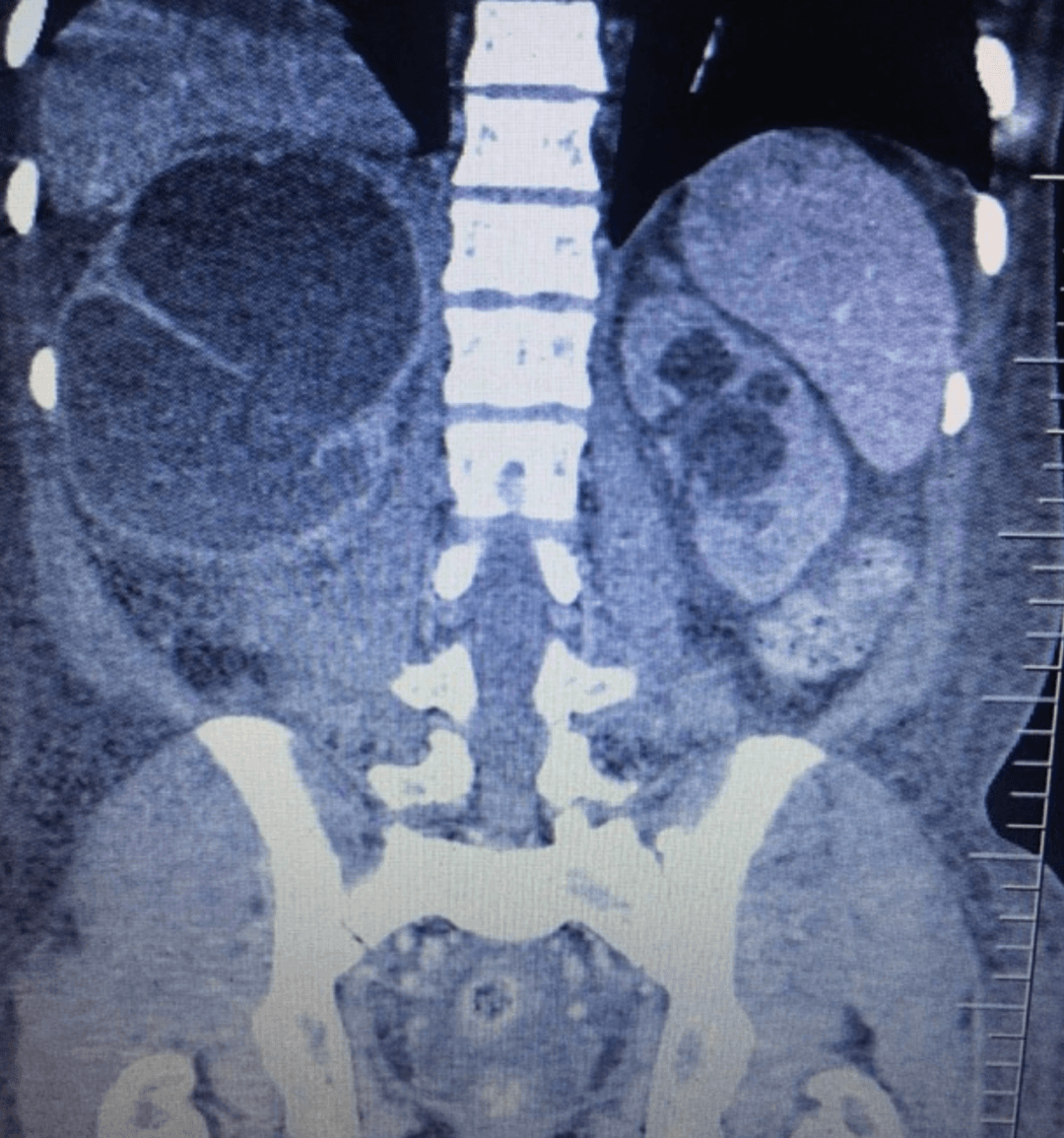
Initial laboratory testing shows WBC 3.8 x 10^9/L, hemoglobin 6.0 g/dL, MCV 92 fL, platelets 187 x 10^9/L, creatinine 12.1 mg/dL, BUN 250 mg/dL, and potassium 7.2 mmol/L. Chest radiography shows an enlarged cardiac silhouette with lower-zone hazy opacification consistent with pulmonary edema. CT abdomen and pelvis demonstrated massive right-sided hydroureteronephrosis and moderate left-sided hydronephrosis.

CT abdomen and pelvis demonstrating massive right-sided hydroureteronephrosis.
Question
What is the most likely unifying clinical impression?
Select one option to submit your answer and view live poll results.
Question 2
After the CT findings, which investigation is the most useful next step to establish the diagnosis?
Select one option to submit your answer and view live poll results.
References
Bustinduy AL, King CH. Schistosomiasis. In: Farrar J, Hotez PJ, Junghanss T, Kang G, Lalloo D, White NJ, eds. Manson's Tropical Diseases. 24th ed. Elsevier; 2023.
Colley DG, Bustinduy AL, Secor WE, King CH. Human schistosomiasis. Lancet. 2014;383(9936):2253-2264.
Richter J. The impact of chemotherapy on morbidity due to schistosomiasis. Acta Tropica. 2003;86(2-3):161-183.
Asundi A, Belavsky A, Liu XJ, et al. Prevalence of strongyloidiasis and schistosomiasis among migrants: a systematic review and meta-analysis. Lancet Global Health. 2019;7(2):e236-e248.