Transient Leg Weakness in a Man from Rural Colombia
Clinical Vignette
A 31-year-old Colombian man with no past medical history presents to a hospital in New York City after several minutes of sudden left leg weakness and numbness. His symptoms resolve just before arrival. During the prior 2 weeks, he also had two brief episodes of left facial twitching lasting about 10 seconds each, both of which resolved spontaneously.
He was born and raised in a rural area of Colombia and moved to New York 5 years ago. In Colombia, his family kept free-roaming pigs near the home and the house lacked indoor sanitation. He has not returned to Colombia since immigrating and denies recent sick contacts, trauma, or substance use.
Vital signs are normal. Cranial nerves are intact. Motor strength, sensation, deep tendon reflexes, and gait are all normal on examination after symptom resolution. The remainder of the exam is unremarkable.
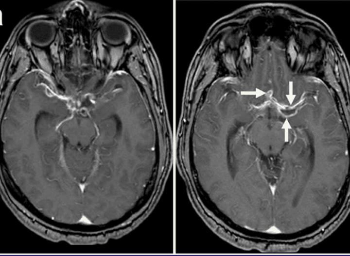
Laboratory studies show a white blood cell count of 6.8 x 10^9/L, hemoglobin 14.1 g/dL, platelets 248 x 10^9/L, sodium 138 mmol/L, creatinine 0.9 mg/dL, and glucose 96 mg/dL. Liver enzymes are normal. Noncontrast head CT shows multiple small parenchymal calcifications. HIV fourth-generation testing is pending. CT angiography demonstrates patent cerebral arteries. Brain MRI reveals dilatation of the suprasellar and Sylvian cisterns with septated fluid-filled subarachnoid cystic lesions surrounding the proximal middle cerebral arteries, peripheral enhancement after gadolinium, and an old lacunar infarct adjacent to one of the cysts.

Brain MRI showing enlarged basal cisterns, peripheral enhancement, and septated subarachnoid cystic lesions.
Question
What is the most likely diagnosis?
Select one option to submit your answer and view live poll results.
Question 2
What is the most appropriate diagnostic and treatment approach?
Select one option to submit your answer and view live poll results.
References
Berto CG, Coyle CM. A 31-Year-Old Man from Guatemala With Acute Weakness and Numbness of the Leg. In: Clinical Cases in Tropical Medicine. Elsevier; 2024:229-231.
White AC, Coyle CM, Rajshekhar V, et al. Diagnosis and Treatment of Neurocysticercosis: 2017 Clinical Practice Guidelines by the Infectious Diseases Society of America (IDSA) and the American Society of Tropical Medicine and Hygiene (ASTMH). Clinical Infectious Diseases. 2018;66(8):1159-1163.
Nash TE, O'Connell EM. Subarachnoid Neurocysticercosis: Emerging concepts and treatment. Current Opinion in Infectious Diseases. 2020;33(5):339-346.
Garcia HH, Nash TE, Del Brutto OH. Clinical symptoms, diagnosis, and treatment of neurocysticercosis. Lancet Neurology. 2014;13(12):1202-1215.