The New Infiltrates on Week Three
Clinical Vignette
A 67-year-old man returns to the emergency department with 5 days of fever, dry cough, progressive dyspnea, and fatigue. Three weeks earlier, he was discharged on outpatient parenteral antimicrobial therapy for methicillin-resistant Staphylococcus aureus bacteremia complicated by L3-L4 vertebral osteomyelitis. His blood cultures had cleared before discharge, transesophageal echocardiography showed no vegetation, and he has been receiving daily intravenous daptomycin through a tunneled catheter.
He reports strict adherence to therapy and denies aspiration, sick contacts, new travel, animal exposures, vaping, or occupational inhalational exposures. His back pain has improved, and there is no drainage or tenderness at the catheter site. He has chronic kidney disease, type 2 diabetes mellitus, and hypertension. His outpatient medications are unchanged except for daptomycin, which was started 19 days before this presentation. He has no known history of asthma, chronic lung disease, or eosinophilic disorder.
On examination, temperature is 38.3 C, heart rate 104/min, blood pressure 126/72 mmHg, respiratory rate 24/min, and oxygen saturation 86% on room air, improving to 94% with 4 L/min nasal cannula. He appears uncomfortable but is not in shock. Lung examination reveals bilateral inspiratory crackles without wheezing. The tunneled catheter site is clean, the spine is mildly tender over the lower lumbar region without new focal neurologic deficits, and there are no rashes, mucosal lesions, peripheral edema, or stigmata of endocarditis.
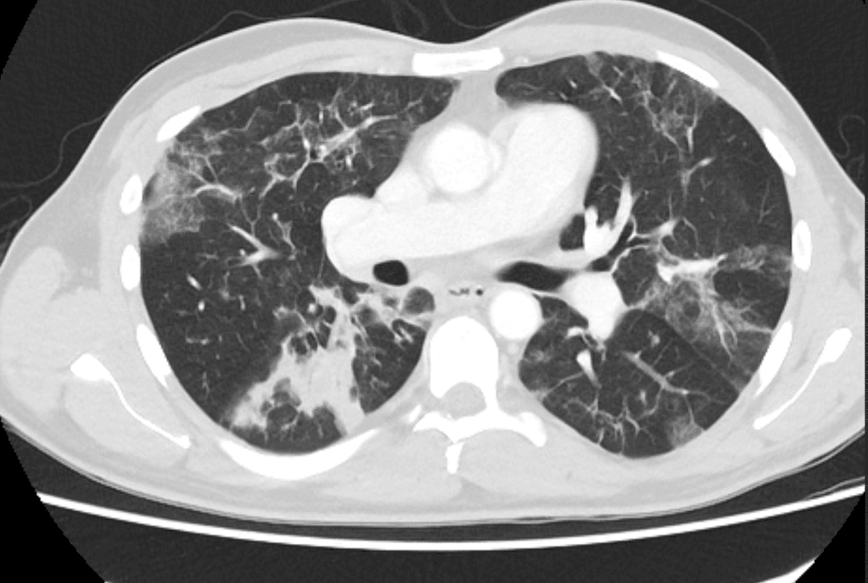
Laboratory studies show white blood cell count 12.6 x 10^3/uL with 14% eosinophils, absolute eosinophil count 1.8 x 10^3/uL, creatinine 1.6 mg/dL near baseline, creatine kinase 78 U/L, and C-reactive protein 84 mg/L. Two sets of blood cultures remain negative, respiratory viral polymerase chain reaction testing is negative, sputum Gram stain shows mixed upper respiratory flora, and serum beta-D-glucan is not detected. Chest CT demonstrates new bilateral peripheral ground-glass and consolidative opacities. Bronchoscopy is performed because of worsening hypoxemia despite empiric cefepime and vancomycin; bronchoalveolar lavage cultures are negative, and the lavage differential shows 32% eosinophils.

CT chest demonstrating new bilateral ground-glass and consolidative pulmonary opacities.
Question 1
What is the most likely diagnosis?
Select one option to submit your answer and view live poll results.
Question 2
What is the best next treatment?
Select one option to submit your answer and view live poll results.
Question 3
Which finding most strongly supports this diagnosis?
Select one option to submit your answer and view live poll results.
References
Kim PW, Sorbello AF, Wassel RT, Pham TM, Tonning JM, Nambiar S. Eosinophilic pneumonia in patients treated with daptomycin: review of the literature and US FDA adverse event reporting system reports. Clin Infect Dis. 2012;54(10):e97-e106.
Uppal P, LaPlante KL, Gaitanis MM, Jankowich MD, Ward KE. Daptomycin-induced eosinophilic pneumonia: a systematic review. Antimicrob Resist Infect Control. 2016;5:55.
Solomon J, Schwarz M. Drug-, toxin-, and radiation therapy-induced eosinophilic pneumonia. Semin Respir Crit Care Med. 2006;27(2):192-197.
U.S. Food and Drug Administration. FDA Drug Safety Communication: eosinophilic pneumonia associated with the use of Cubicin (daptomycin). Updated July 29, 2010.