The Forgotten Toe
Clinical Vignette
A 62-year-old man with type 2 diabetes (HbA1c 9.8%), peripheral arterial disease (ankle-brachial index 0.6 on right), and neuropathy presents with a 4-month history of a non-healing plantar ulcer beneath his right first metatarsal head. The ulcer began as a small blister after wearing new shoes and has progressively deepened, now measuring 3 × 2 cm with a fibrinous base and exposed bone at the base. He reports minimal pain due to neuropathy but endorses low-grade fevers over the past two weeks. He has no history of recent antibiotics or hospitalizations.
On examination, temperature is 37.9°C, heart rate 92, blood pressure 148/86 mmHg. Right foot examination reveals a deep plantar ulcer with surrounding erythema and mild edema. A sterile probe reaches bone. Sensation is absent to 10-g monofilament testing. Dorsalis pedis and posterior tibial pulses are faintly palpable with Doppler assistance. No crepitus or fluctuance.
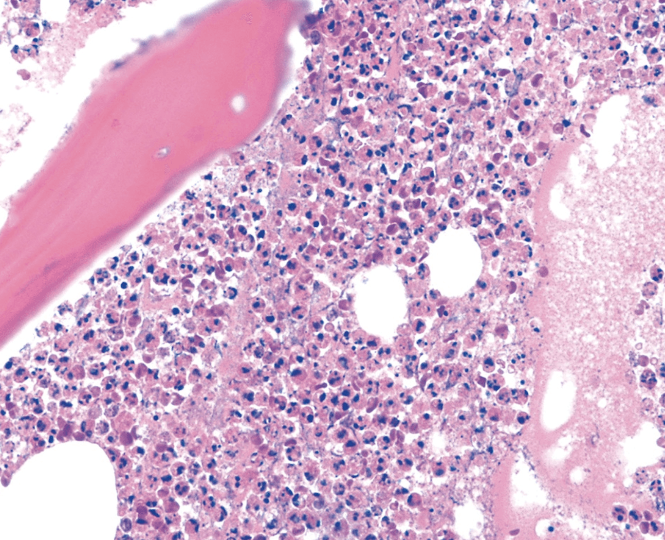
Laboratory studies: WBC 12.4 k/mcL with 78% neutrophils, hemoglobin 11.8 g/dL, platelets 340 k/mcL. CRP 42 mg/L, ESR 58 mm/hr. Random glucose 284 mg/dL. Plain radiographs show cortical erosion and periosteal reaction of the first metatarsal. MRI confirms osteomyelitis with a 3-cm abscess tracking along the plantar fascia. The patient undergoes transmetatarsal amputation with intraoperative bone biopsy from the proximal margin, shown below.

Proximal margin bone biopsy from transmetatarsal amputation: acute osteomyelitis with inflammatory infiltrate and bone destruction.
Question 1
Which empiric antibiotic regimen is most appropriate while awaiting culture results from the bone biopsy?
Select one option to submit your answer and view live poll results.
Question 2
The bone biopsy grows MSSA susceptible to cefazolin. The surgical margins show acute osteomyelitis histologically. According to current guidelines, what is the recommended duration of antibiotic therapy?
Select one option to submit your answer and view live poll results.
Question 3
Which monitoring approach is recommended to determine when antibiotic therapy can be stopped?
Select one option to submit your answer and view live poll results.
References
Lipsky BA, Senneville É, Abbas ZG, et al. Guidelines on the diagnosis and treatment of foot infection in persons with diabetes (IWGDF 2023 update). Diabetes/Metabolism Research and Reviews. 2024;40(1):e3643.
Berbari EF, Kanj SS, Kowalski TJ, et al. 2024 Infectious Diseases Society of America clinical practice guidelines for the diagnosis and treatment of diabetic foot infections. Clinical Infectious Diseases. 2024;ciae123.
Tone A, Nguyen S, Devemy F, et al. Six-week versus twelve-week antibiotic therapy for nonsurgically treated diabetic foot osteomyelitis: a multicenter open-label controlled randomized study. Diabetes Care. 2015;38(2):302-307.