A Dangerous Predilection
Clinical Vignette
A 68-year-old man with hypertension, type 2 diabetes, and a known 4.8 cm infrarenal abdominal aortic aneurysm under surveillance presents to the emergency department with two weeks of progressive low-grade fever, drenching night sweats, and severe back and flank pain. He initially attributed the back pain to a muscle strain from yard work. Three weeks prior, he had four days of diarrhea, crampy abdominal pain, and low-grade fever after a backyard cookout at which undercooked chicken was served. The diarrheal illness resolved without treatment and he did not seek medical care at that time.
On examination, temperature is 38.8°C, heart rate 104, blood pressure 136/82 mmHg. He appears ill and uncomfortable. Abdominal examination reveals a pulsatile midline mass with periumbilical and back tenderness on deep palpation. No peritoneal signs. No lower extremity pulses are diminished. No skin findings.
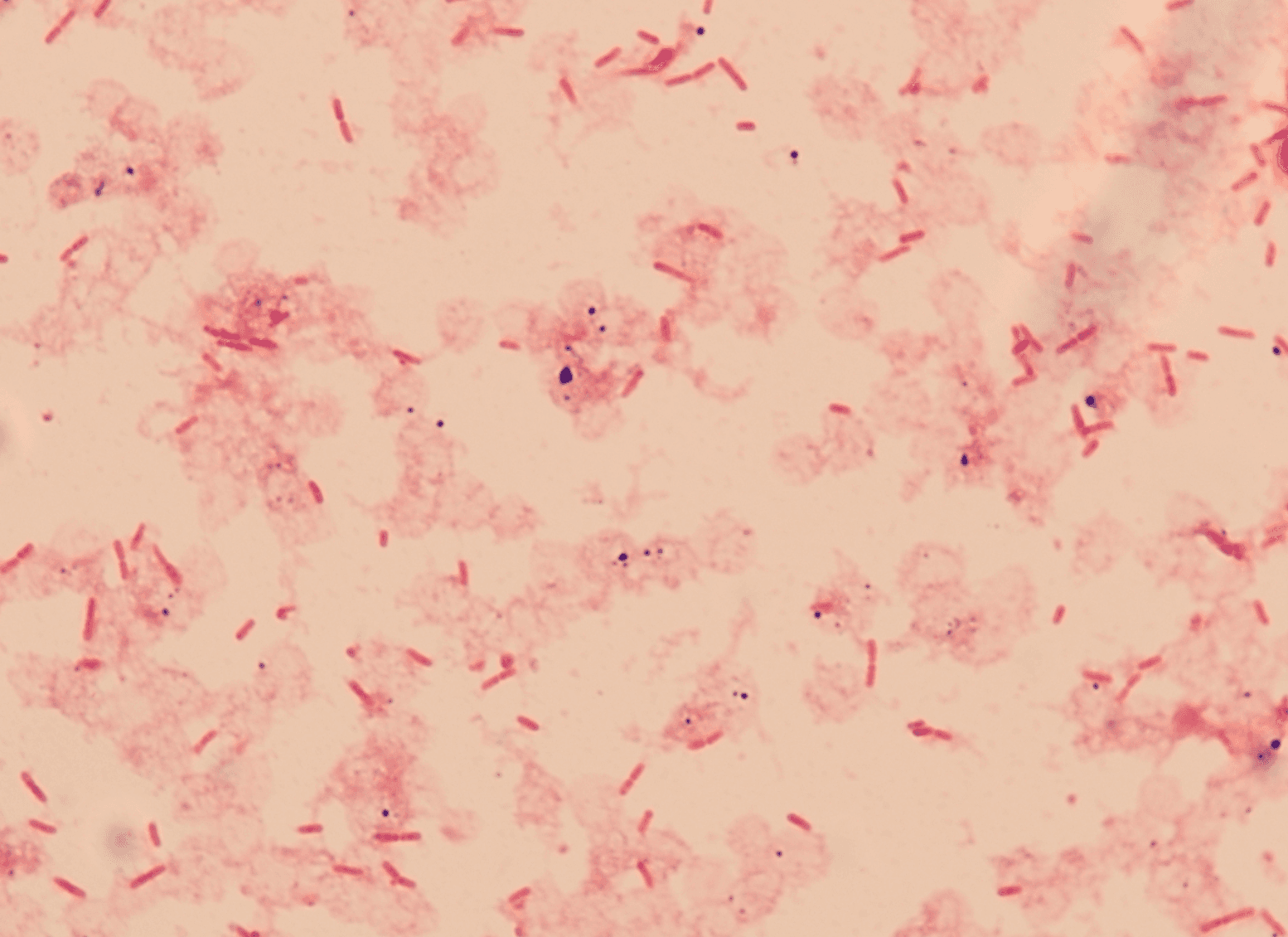
Laboratory studies: WBC 18.6 k/mcL with 92% neutrophils, hemoglobin 11.4 g/dL, platelets 410 k/mcL. CRP 186 mg/L, ESR 88 mm/hr. Creatinine 1.3 mg/dL, LFTs normal. Blood cultures are drawn and flagged positive at 14 hours; the Gram stain is shown below. CT angiography of the abdomen reveals an infrarenal abdominal aortic aneurysm now measuring 5.4 cm with marked periaortic fat stranding and multiple small foci of gas within and immediately surrounding the aneurysm sac.

Gram stain from the patient's blood culture: gram-negative rods.
Question 1
Which organism is most likely growing in this patient's blood cultures?
Select one option to submit your answer and view live poll results.
Question 2
Which best explains this organism predilection for atherosclerotic vascular structures?
Select one option to submit your answer and view live poll results.
Question 3
What is the recommended management?
Select one option to submit your answer and view live poll results.
References
Kyriakidis M, Skouteli E, Kolettis TM. Non-typhoidal Salmonella aortitis: a literature review. European Journal of Internal Medicine. 2009;20(5):447-454.
Hsu RB, Tsay YG, Wang SS, Chu SH. Risk factors for primary bacteremic infection and endovascular infection of Salmonella. Journal of the American College of Surgeons. 2003;196(1):1-6.
Liang CW, Lin YC, Lin JH, et al. Non-typhoidal Salmonella endovascular infection: a systematic review. Journal of Infection. 2021;83(5):536-545.