Postpartum Fever, Diplopia, and Hemiparesis
Clinical Vignette
A previously healthy woman in her late 30s, 6 weeks postpartum after an uncomplicated vaginal delivery, presents with 4 days of progressive illness. She first developed nausea and vomiting after a meal, then severe headache, fever, and photophobia. She also noticed a painful lower-lip vesicular lesion 2 days before presentation. Over 48 hours, she developed dysphagia, diplopia, right ptosis, and progressive left-sided weakness.
On arrival, temperature is 39.3 C and heart rate is 117/min. Neurologic examination shows multiple cranial neuropathic findings with bulbar involvement and dense left hemiparesis. Outside records note concern for pneumonia. CT venography does not show venous sinus thrombosis.
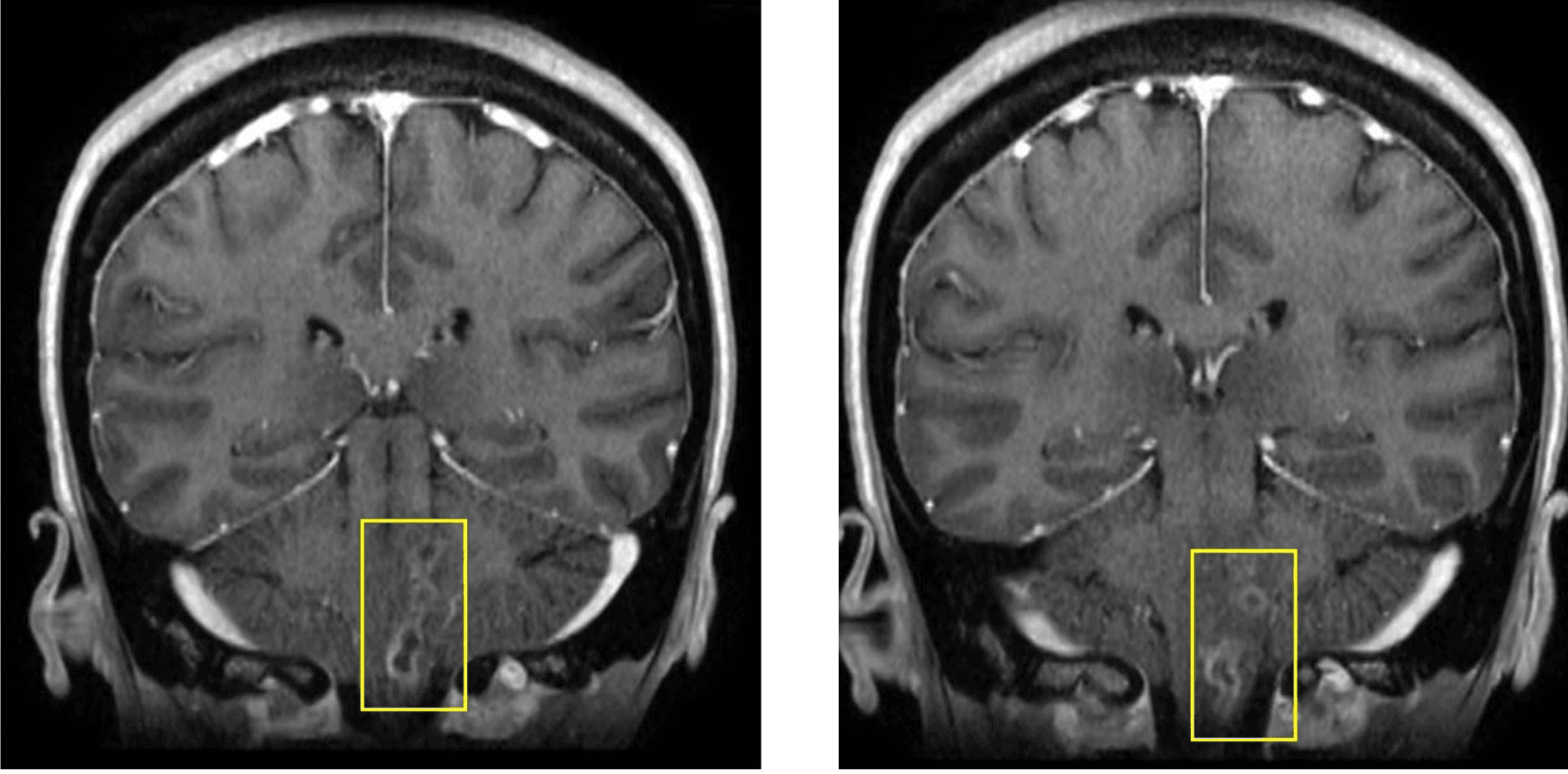
Lumbar puncture shows CSF white cells 144 cells/microL (neutrophil-predominant), protein 134 mg/dL, and glucose 48 mg/dL. Gram stain and early cultures are negative. MRI brain with contrast demonstrates multifocal enhancing lesions in a tract-like pattern involving the medulla and dorsal pons, with enhancement near lower cranial nerve root entry zones.

Contrast-enhanced brain MRI
Question
What is the most likely diagnosis?
Select one option to submit your answer and view live poll results.
Question 2
CSF meningitis/encephalitis PCR returns positive for Listeria monocytogenes. What is the most appropriate next step?
Select one option to submit your answer and view live poll results.
References
Schneider J, Kim JY, Oey M. Listeria rhombencephalitis in the postpartum period. BMJ Case Reports. 2025;18:e266790.
Karlsson WK, Harboe ZB, Roed C, et al. Early trigeminal nerve involvement in Listeria monocytogenes rhombencephalitis: case series and systematic review. J Neurol. 2017;264:1875-1884.