A Nose Lesion that Wouldn’t Heal
Clinical Vignette
A 42-year-old man presents with several years of progressive nasal obstruction, nasal discharge, and intermittent epistaxis. Over the past 6 months, he has noticed worsening facial swelling and distortion of the nasal bridge, associated with a muffled voice and difficulty breathing through his nose. He denies fever, weight loss, night sweats, or cough.
He was born and raised in rural Thailand and immigrated to the United States approximately 10 years ago. He reports living in crowded housing during childhood and early adulthood and has limited access to medical care. Most recently he has vacationed in South America (Peru and Brazil) about 6 months prior. He denies tobacco or illicit drug use. He denies any history of autoimmune disease or immunosuppression.
Physical examination reveals firm, nodular thickening of the nasal mucosa with partial obstruction of both nares. The nasal bridge appears broadened and indurated. There is no cervical lymphadenopathy. Oral examination shows extension of nodular tissue into the nasopharynx. Lung and cardiac examinations are normal.
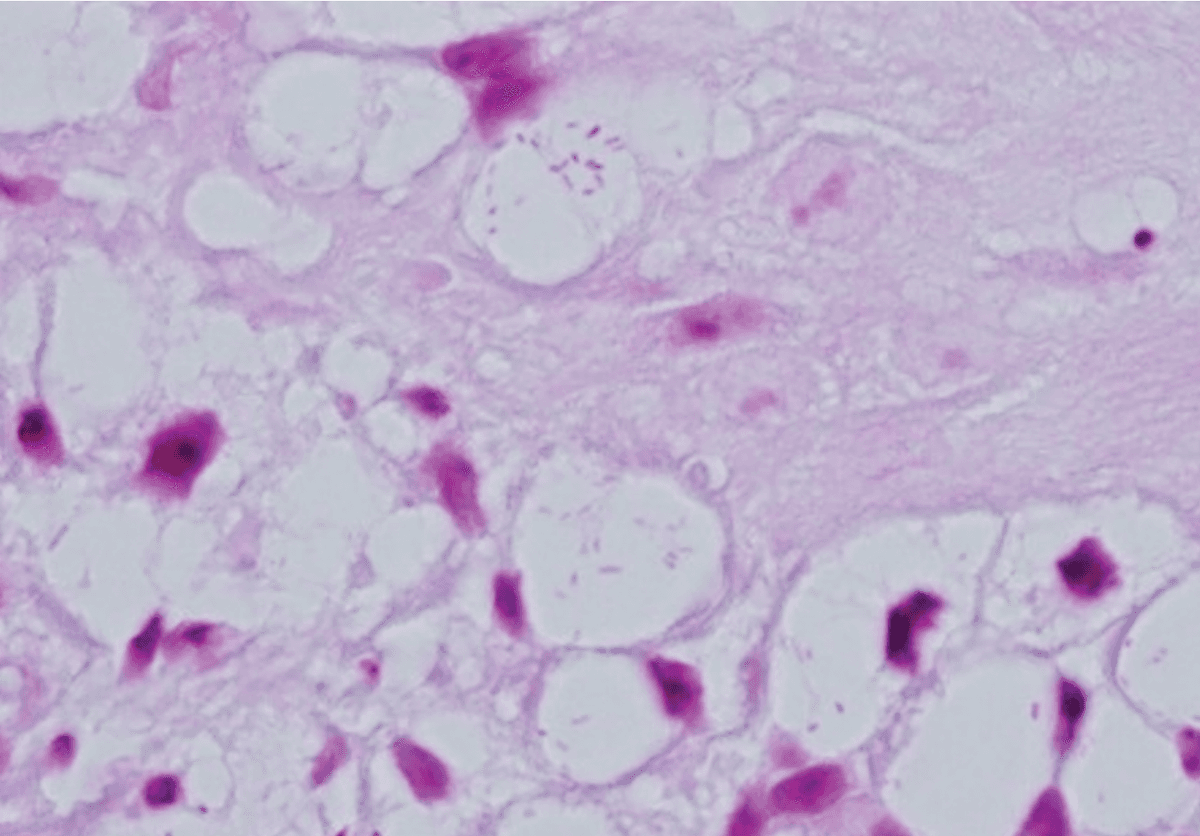
Computed tomography of the face demonstrates soft tissue masses involving the nasal cavity and nasopharynx with focal erosion of adjacent bone, without abscess formation. A biopsy of the nasal lesion is performed and shown below. Histopathology reveals granulomatous inflammation with numerous foamy macrophages containing intracellular Gram-negative bacilli (Mikulicz cells).


Left: Gram stain showing intracellular Gram-negative bacilli within Mikulicz cells. Right: Steiner staining highlights the bacilli within the cytoplasm of the Mikulicz cells.
Which of the following is the most likely causative organism?
Poll results shown are from this browser only.
Rationale
Rhinoscleroma is a chronic granulomatous infection of the upper respiratory tract caused by Klebsiella pneumoniae subspecies rhinoscleromatis. Unlike other members of the Klebsiella genus, this organism is restricted to human hosts and is transmitted through close contact, with disease occurring predominantly in impoverished regions of Central and South America, Africa, and Asia.
The disease follows a progressive clinical course, often evolving from an atrophic phase to a granulomatous stage and eventually a fibrotic stage, leading to disfigurement and airway compromise. Because early symptoms are nonspecific, diagnosis is frequently delayed until advanced disease is present.
Histopathology is central to diagnosis and classically demonstrates granulomatous inflammation with foamy macrophages—known as Mikulicz cells—containing intracellular Gram-negative bacilli. Although the organism can be cultured on standard laboratory media, biopsy is often required for definitive diagnosis.
The exact pathogenesis in which Klebsiella spp result in Mikulicz cell formation and eventual rhinoscleroma is unclear. Klebsiella rhinoscleromatis, like K pneumoniae, is characterized by a mucopolysaccharide capsule that contributes to inhibition of phagocytosis, thus facilitating intracellular survival. It has been postulated that cellular immunity is impaired with a decreased CD4 to CD8 ratio but with humoral immunity remains intact.
Management requires prolonged antibiotic therapy, often for several months. Traditional regimens have included streptomycin or tetracycline, while more recent evidence supports the use of trimethoprim-sulfamethoxazole or fluoroquinolones. Surgical débridement may be necessary in advanced cases, though relapse is common.
Teaching points
Rhinoscleroma is a chronic granulomatous infection of the upper respiratory tract caused by K. pneumoniae subspecies rhinoscleromatis.
Disease occurs predominantly in endemic regions and among individuals with limited socioeconomic resources.
Mikulicz cells—foamy macrophages containing intracellular Gram-negative bacilli— are a key diagnostic clue.
Treatment requires prolonged antibiotic therapy, and relapses are common despite appropriate management.
References
Lenis A, Ruff T, Diaz JA, et al. Rhinoscleroma. South Med J. 1988;81:1580–1582.