Amazon Adventure
Clinical Vignette
A 39-year-old man returned from a 9-month sabbatical traveling along the Amazon River in Colombia near the borders of Peru and Brazil. During his stay, he participated in indigenous ceremonies, sustained minor lacerations while cutting trees, and was scratched by monkeys. He reports multiple insect bites (mosquitoes and possibly sand flies), and a single episode of unprotected sexual activity. He also observed wildlife including pink dolphins, monkeys, and birds.
Two months after returning, he presents with a slowly enlarging, firm, keloid-like lesion on his lower leg. There is no pain, systemic symptoms, lymphadenopathy, or mucosal involvement.
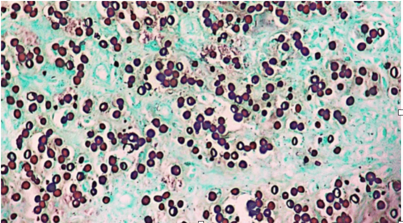
A skin biopsy is performed. Grocott methenamine silver (GMS) staining reveals oval yeast-like structures with birefringent membranes, arranged both isolated and in chains resembling “Rosario beads.”

Obtained from: "https://www.dovepress.com/lobomycosis-epidemiology-clinical-presentation-and-management-options-peer-reviewed-fulltext-article-TCRM"
Which of the following is the most likely causative organism?
Poll results shown are from this browser only.
Rationale
Lobomycosis (also called Lobo’s disease or keloidal blastomycosis) is a chronic fungal infection of the skin and subcutaneous tissue most commonly described in the Amazon regions of Colombia, Brazil, and Peru, and in dolphins. Infection typically follows traumatic inoculation, and lesions are characteristically slow-growing, firm, painless, and keloid-like.
The causative organism is Lacazia loboi (a name proposed to replace older designations). The organism has not been isolated in culture, but sequencing data place it close to Paracoccidioides. Histopathology is the key diagnostic feature: thick-walled yeast-like cells that appear isolated or in chains connected by narrow bridges, producing the characteristic “Rosario beads” appearance on silver stains such as GMS.
Treatment is primarily wide surgical excision when feasible; relapse can occur and reinoculation has been described when instruments are contaminated. There is no reliably effective medical therapy, although itraconazole may have partial activity and is sometimes used as adjunctive therapy to reduce recurrence risk.
Teaching points
Painless, keloid-like lesions after Amazon exposure and skin trauma should prompt consideration of lobomycosis.
The “Rosario beads” pattern on GMS (chains of thick-walled yeast-like cells) is a key histopathologic clue.
Lacazia loboi has not been cultured; diagnosis is typically histopathologic.
Preferred management is surgical excision; medical therapy is inconsistently effective.
References
(1) Review of lobomycosis / Lacazia loboi. PMID: 25328400